Is intraoperative cholangiography necessary during laparoscopic cholecystectomy for cholelithiasis
Ding GQ, Cai W, Qin MF. Is intraoperative cholangiography necessary during laparoscopic cholecystectomy for cholelithiasis? World Journal of Gastroenterology 2015 Feb 21;21(7):2147-51. doi: 10.3748/wjg.v21.i7.2147. PMID: 25717250
Abstrak
Latar Belakang: Kolangiografi intraoperatif dapat membantu ahli bedah laparoskopi memvisualisasikan anatomi traktus biliaris dan batu saluran empedu selama prosedur laparoskopi kolesistektomi untuk mengobati kolelitiasis. Meskipun kolangiografi intraoperatif akhir-akhir ini telah dipraktikkan secara rutin untuk menunjang laparoskopi kolesistektomi, namun tidak ada konsensus berbasis bukti tentang apakah prosedur kolangiografi intraoperatif memberikan manfaat yang efektif dan aman untuk diterapkan secara rutin.
Tujuan: Untuk menentukan efikasi dan keamanan kolangiografi intraoperatif selama prosedur laparoskopi kolesistektomi untuk mengobati kolelitiasis.
Desain: Uji acak prospektif membandingkan operasi laparoskopi kolesistektomi dengan laparoskopi kolesistektomi + kolangiografi intraoperatif pada 371 pasien kolelitiasis simptomatik di Pusat Bedah Minimal Invasif Rumah Sakit Tianjin Nankai pada periode Januari 2012 hingga Januari 2014.
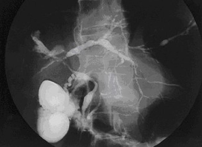
Intervensi: Subjek dipilih secara acak untuk mendapatkan intervensi laparoskopi kolesistektomi (n=185) atau laparoskopi kolesistektomi + kolangiografi intraoperatif (n=186). Prosedur laparoskopi kolesistektomi dilakukan dengan menggunakan teknik empat port standar. Sementara itu, prosedur laparoskopi kolesistektomi + kolangiografi intraoperatif dilakukan dengan penambahan injeksi meglumine diatrizoate (pengenceran 1: 1 dengan cairan salin normal) melalui kateter yang dimasukkan melalui sayatan kecil di duktus sistikus yang dibuat dengan gunting laparoskopi.
Parameter: Dilakukan analisis komparatif terhadap data operasi dan hasil pasca operasi, termasuk waktu lama operasi, retensi batu saluran empedu (duktus koledokus), cedera duktus koledokus, komplikasi lain, dan lama rawat inap. Perbedaan antar kelompok secara statistik dinilai dengan uji χ2 (variabel kategori) dan uji eksak Fisher (variabel biner), dengan ambang batas signifikansi statistik ditetapkan pada P <0,05.
Hasil: Dari total 371 pasien yang mengikuti uji ini (pasien remaja akhir hingga dewasa, rentang usia 16-70 tahun) dibagi 2 kelompok perlakuan. Kedua kelompok perlakuan memiliki kesamaan umur, jenis kelamin, indeks massa tubuh, lama gejala, jumlah dan ukuran batu empedu, dan gejala klinis.
Kedua kelompok perlakuan tidak menunjukkan perbedaan yang signifikan dalam tingkat keberhasilan laparoskopi (98,38% vs 97,85%), retensi batu di duktus koledokus (0,54% vs 0,00%), cedera duktus koledokus (0,54% vs 0,53%), komplikasi lain (2,16% vs. 2,15%), serta durasi rawat inap (5,10 ± 1,41 hari vs 4,99 ± 1,53 hari).
Namun, kelompok perlakuan laparoskopi kolesistektomi + kolangiografi intraoperatif menunjukkan waktu operasi rata-rata yang lebih lama secara signifikan (laparoskopi kolesistektomi 43,00 ± 4,15 menit vs laparoskopi kolesistektomi + kolangiografi intraoperatif 52,86 ± 4,47 menit, P <0,01).
Kesimpulan: Penambahan kolangiografi intraoperatif rutin pada tindakan laparoskopi kolesistektomi untuk terapi kolelitiasis yang simptomatik tidak menurunkan risiko retensi batu duktus koledokus atau cedera saluran empedu, tetapi meningkatkan lama waktu operasi.
Ulasan Alomedika
Jurnal ini membandingkan dua teknik manajemen kolelitiasis simptomatik. Tujuan dari penulisan jurnal ini adalah untuk mengevaluasi efikasi dari penambahan kolangiografi intraoperatif pada operasi laparoskopi kolesistektomi melalui uji acak prospektif. Uji acak ini dilakukan karena masih belum adanya konsensus penggunaan kolangiografi intraoperatif secara rutin pada tindakan laparoskopi kolesistektomi.
Sejak kurang lebih 25 tahun, laparoskopi kolesistektomi telah menggantikan bedah terbuka untuk terapi kolelitiasis simptomatik. Namun, seiring dengan semakin banyaknya kasus, terdapat risiko cedera saluran empedu yang semakin meningkat. Prosedur kolangiografi intraoperatif, di mana kateter dimasukkan ke dalam saluran empedu (duktus koledokus) untuk drainase empedu dan injeksi kontras, dapat meningkatkan visualisasi anatomi saluran empedu dan membantu ahli bedah laparoskopi untuk menghindari cedera saluran empedu selama prosedur laparoskopi kolesistektomi. Meskipun kombinasi laparoskopi kolesistektomi + kolangiografi intraoperatif sering digunakan di pusat medis di seluruh dunia, belum ada bukti ilmiah yang secara meyakinkan menunjukkan manfaat, baik dalam efikasi ataupun keamanan, dibandingkan dengan prosedur laparoskopi kolesistektomi saja tanpa kolangiografi.
Ulasan Metode Penelitian
Pemilihan subjek penelitian dalam jurnal ini berdasarkan kriteria inklusi yang jelas dan dilakukan randomisasi, sehingga memperkecil risiko terjadinya bias. Uji acak prospektif dilaksanakan di Pusat Bedah Minimal Invasif Rumah Sakit Tianjin Nankai pada periode Januari 2012 hingga Januari 2014, yang melibatkan pasien remaja (usia ≥16 tahun) dan dewasa dengan dengan presentasi klinis kolik bilier, temuan radiologis yang menunjukkan adanya batu empedu, dan hasil biokimia serum dalam kisaran normal (seperti kadar bilirubin, alkali fosfatase, dan alanin aminotransferase).
Semua peserta studi memberikan persetujuan dan secara acak menjalani terapi laparoskopi kolesistektomi atau laparoskopi kolesistektomi + kolangiografi intraoperatif dengan menggunakan protokol amplop tertutup. Semua operasi dilakukan oleh seorang ahli laparoskopi tunggal yang memiliki pengalaman operasi > 2000 kasus.
Deskripsi prosedur kolangiografi intraoperatif dijelaskan dengan baik dan dilakukan dengan bahan standar yang sama. Alat visualisasi anatomi bilier juga dideskripsikan jelas dan menggunakan standar yang sama. Namun, alat laparoskopi tidak dideskripsikan pada penelitian ini, sehingga tidak dapat diketahui apakah setiap operasi dilakukan dengan alat laparoskopi standar yang sama. Prosedur kolangiografi intraoperatif dilakukan dengan menggunakan gunting laparoskopi untuk membuat lubang kecil pada duktus sistikus, kemudian memasukkan kateter, dan menyuntikkan cairan salin normal dan meglumine diatrizoate dengan perbandingan 1: 1. Anatomi bilier divisualisasikan secara dinamis menggunakan mesin C-arm mobile yang dilengkapi dengan penguat gambar. Untuk prosedur laparoskopi kolesistektomi, hanya dijelaskan menggunakan teknik empat port standar, namun rincian alat apa saja yang dipakai tidak disebutkan.
Pada uji ini, parameter yang digunakan untuk tolak ukur menilai efikasi dan keamanan sudah cukup baik. Keberhasilan operasi didefinisikan sebagai pengangkatan kandung empedu yang berhasil dengan laparoskopi. Selain itu, dievaluasi adanya retensi batu empedu di duktus koledokus, cedera duktus koledokus, komplikasi lain (bile leakage, infeksi luka, pneumonitis post operasi, dan hydrops bed gallbladder), serta lama rawat inap. Semua pasien menjalani follow up terhadap keluhan yang timbul hingga 12 bulan pasca operasi di instalasi rawat jalan dan setiap keluhan dicatat. Waktu lama operasi adalah durasi pneumoperitoneum selama dilakukan prosedur laparoskopi.
Analisis yang dilakukan telah sesuai dengan variabel data yang dinilai. Data kuantitatif disajikan sebagai mean ± SD. Perbedaan antar kelompok dinilai menggunakan uji χ2 untuk variabel kategori dan uji eksak Fisher untuk variabel biner. Ambang batas untuk perbedaan yang signifikan secara statistik ditetapkan sebagai nilai P<0,05.
Ulasan Hasil Penelitian
Luaran utama penelitian terkait efikasi dan keamanan prosedur kolangiografi intraoperatif diteliti dengan cukup baik, yaitu menilai parameter angka keberhasilan operasi, adanya retensi batu empedu, cedera saluran empedu, dan komplikasi lain. Selain itu, juga dinilai lama rawat inap dan lama waktu operasi.
Hasil dari uji acak ini menunjukkan bahwa penggunaan tambahan kolangiografi intraoperatif tidak lebih menguntungkan dibandingkan laparoskopi kolesistektomi saja. Perbedaan yang ada pada angka keberhasilan operasi, retensi batu empedu, cedera saluran empedu, atau komplikasi lain tidak signifikan. Namun, terdapat perbedaan yang signifikan untuk durasi operasi, dimana dengan adanya penambahan kolangiografi intraoperatif rerata waktu operasi lebih lama (laparoskopi kolesistektomi 43,00 ± 4,15 menit VS laparoskopi kolesistektomi + kolangiografi intraoperatif: 52,86 ± 4,47 menit).
Kelebihan Penelitian
Kelebihan dari penelitian ini adalah tipe penelitian yang digunakan yakni uji acak yang bersifat prospektif sehingga dapat meminimalisir bias. Penelitian ini juga membandingkan langsung dua teknik intervensi yang berbeda, sehingga dapat terlihat jelas perbedaan jumlah komplikasi yang terjadi serta tingkat keberhasilan dari kedua teknik tersebut.
Kelebihan lain penelitian ini adalah terkait luaran yang digunakan. Luaran yang digunakan pada penelitian ini merupakan luaran yang bermakna secara klinis. Selain itu, juga dinilai lama waktu operasi yang dapat digunakan sebagai acuan efisiensi penggunaan tambahan kolangiografi intraoperatif.
Limitasi Penelitian
Penelitian ini belum mampu dijadikan dasar konsensus untuk menjawab pertanyaan apakah penambahan kolangiografi intraoperatif rutin diperlukan pada laparoskopi kolesistektomi kasus kolelitiasis. Walaupun 185 subjek untuk masing-masing kelompok percobaan merupakan jumlah yang cukup baik untuk analisis statistik, kemungkinan bias sampel masih tetap ada. Sebaran usia antar subjek studi juga dapat dianggap terlalu lebar, yaitu 16 hingga 70 tahun, dimana terdapat kemungkinan perbedaan anatomi, komorbiditas, dan efikasi akibat pengaruh usia lanjut. Dengan jumlah sampel yang ada pada studi ini, kemungkinan besar analisis efikasi prosedur berdasarkan usia tidak dapat dilakukan.
Selain itu, untuk membuat kesimpulan dengan kualitas bukti yang baik dan dapat diterapkan sebagai konsensus, diperlukan studi multisenter pada berbagai tipe rumah sakit dan negara. Hasil tindakan juga perlu melibatkan berbagai dokter bedah dengan berbagai tingkat kemampuan, seperti dokter bedah baru dan dokter bedah dengan jam terbang yang tinggi.
Aplikasi Hasil Penelitian di Indonesia
Meskipun hasil penelitian ini tidak bisa menjadi suatu konsensus mengenai apakah penambahan kolangiografi intraoperatif rutin diperlukan pada laparoskopi kolesistektomi kasus kolelitiasis, namun hasil penelitian ini sangat bermanfaat untuk diterapkan di Indonesia. Fakta bahwa penambahan kolangiografi intraoperatif rutin pada tindakan laparoskopi kolesistektomi untuk terapi kolelitiasis yang simptomatik tidak menurunkan risiko retensi batu duktus koledokus atau cedera saluran empedu, cukup memberikan informasi bahwa penambahan kolangiografi intraoperatif tidak memberikan keuntungan yang signifikan. Bahkan didapatkan peningkatan lama waktu operasi. Hal ini penting untuk negara Indonesia yang mana sumber daya di beberapa pusat kesehatan di daerah masih terbatas.
Dampak adanya penambahan kolangiografi intraoperatif ini dapat meningkatkan biaya operasi dan menurunkan efisiensi jumlah operasi yang dapat dikerjakan dalam sehari karena menambah lama waktu operasi. Hal ini penting untuk dipertimbangkan di Indonesia dimana jumlah operasi harian masih tinggi.
Meski demikian, perlu dicatat bahwa meskipun kolangiografi intraoperatif tidak menguntungkan jika digunakan secara rutin pada tindakan laparoskopi kolesistektomi kasus kolelitiasis, prosedur ini bisa tetap bermanfaat pada kasus tertentu. Contohnya adalah tindakan pada pasien usia lanjut dengan skenario klinis yang kompleks, seperti duktus yang melebar > 6 mm atau pada kasus dengan abnormalitas anatomi (kista, fistula, atau tumor).
