Masuk atau Daftar

Alo! Masuk dan jelajahi informasi kesehatan terkini dan terlengkap sesuai kebutuhanmu di sini!
atau dengan
Facebook
Masuk dengan Email
Masukkan Kode Verifikasi
Masukkan kode verifikasi yang telah dikirimkan melalui SMS ke nomor
Kami telah mengirim kode verifikasi. Masukkan kode tersebut untuk verifikasi
Kami telah mengirim ulang kode verifikasi. Masukkan kode tersebut untuk verifikasi
Terjadi kendala saat memproses permintaan Anda. Silakan coba kembali beberapa saat lagi.
Selanjutnya

Tidak mendapatkan kode? Kirim ulang atau Ubah Nomor Ponsel

Mohon Tunggu dalam Detik untuk kirim ulang

Apakah Anda memiliki STR?
Alo, sebelum melanjutkan proses registrasi, silakan identifikasi akun Anda.
Ya, Daftar Sebagai Dokter
Belum punya STR? Daftar Sebagai Mahasiswa

Nomor Ponsel Sudah Terdaftar

Nomor yang Anda masukkan sudah terdaftar. Silakan masuk menggunakan nomor [[phoneNumber]]

Masuk dengan Email

Silakan masukkan email Anda untuk akses Alomedika.
Lupa kata sandi ?

Masuk dengan Email

Silakan masukkan nomor ponsel Anda untuk akses Alomedika.

Masuk dengan Facebook

Silakan masukkan nomor ponsel Anda untuk verifikasi akun Alomedika.

KHUSUS UNTUK DOKTER

Logout
Masuk
Download Aplikasi
  • CME
  • Webinar
  • E-Course
  • Diskusi Dokter
  • Penyakit & Obat
    Penyakit A-Z Obat A-Z Tindakan Medis A-Z
Artikel Terkait
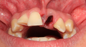
  • Terapi Topikal pada Osteitis Alveolar atau Dry Socket
    Terapi Topikal pada Osteitis Alveolar atau Dry Socket

    Terapi topikal pada alveolar osteitis atau dry socket berfokus untuk mengurangi rasa nyeri, di mana efek intervensi lokal ini dapat digunakan untuk...(Baca Selengkapnya)

  • Hecting V Konservatif: Tata Laksana Laserasi Lidah
    Hecting V Konservatif: Tata Laksana Laserasi Lidah

    Belum ada konsensus dan pedoman baku mengenai tata laksana yang optimal untuk kasus laserasi lidah. Beberapa ahli lebih menyukai melakukan penjahitan karena...(Baca Selengkapnya)

  • Upaya Mendapatkan Hasil Maksimal pada Gigi Avulsi
    Upaya Mendapatkan Hasil Maksimal pada Gigi Avulsi

    Sebagai dokter gigi, diperlukan tindakan-tindakan atau upaya untuk mendapatkan hasil yang maksimal pada avulsi gigi. Avulsi merupakan terlepasnya gigi secara utuh dari...(Baca Selengkapnya)

  • Anestesi Umum atau Lokal untuk Ekstraksi Gigi Bungsu
    Anestesi Umum atau Lokal untuk Ekstraksi Gigi Bungsu

    Penggunaan anestesi umum atau anestesi lokal untuk prosedur ekstraksi gigi bungsu masih sering diperdebatkan karena memiliki kelebihan dan kekurangan masing-masing. Ekstraksi atau...(Baca Selengkapnya)

  • Jangan Tunda Cabut Gigi pada Pasien Hipertensi
    Jangan Tunda Cabut Gigi pada Pasien Hipertensi

    Hipertensi sering menjadi alasan menunda tindakan cabut gigi atau ekstraksi gigi. Hal ini karena tekanan darah tinggi dianggap dapat meningkatkan risiko perdarahan...(Baca Selengkapnya)

  • Manajemen Pasien Bedah Dental yang Mengonsumsi Novel Oral Anticoagulants (NOAC)
    Manajemen Pasien Bedah Dental yang Mengonsumsi Novel Oral Anticoagulants (NOAC)

    Saat ini, manajemen pada pasien bedah dental yang mengonsumsi antikoagulan mengalami perubahan paradigma. Salah satu penyebab perubahan tersebut adalah ditemukannya novel oral...(Baca Selengkapnya)

  • Kontroversi Penggunaan Kortikosteroid pada Tata Laksana Angina Ludwig
    Kontroversi Penggunaan Kortikosteroid pada Tata Laksana Angina Ludwig

    Peran kortikosteroid, seperti dexamethasone, dalam penanganan angina Ludwig masih menjadi kontroversi. Angina Ludwig adalah selulitis difus pada jaringan lunak dasar mulut dan...(Baca Selengkapnya)

  • Efek Tea Bag untuk Menghentikan Pendarahan Setelah Cabut Gigi
    Efek Tea Bag untuk Menghentikan Pendarahan Setelah Cabut Gigi

    Menggigit tea bag pada bekas luka pencabutan gigi yang mengalami perdarahan, termasuk salah satu tips tindakan darurat MacGyver. Tips ini dicantumkan oleh...(Baca Selengkapnya)

  • Tanda Bahaya Benjolan Gusi
    Tanda Bahaya Benjolan Gusi

    Red flags atau tanda bahaya benjolan gusi perlu dikenali untuk membedakan kondisi berisiko fatal seperti kanker rongga mulut dan abses gigi, dengan...(Baca Selengkapnya)

  • Prosedur Dental Invasif Tidak Meningkatkan Risiko Endokarditis Infektif
    Prosedur Dental Invasif Tidak Meningkatkan Risiko Endokarditis Infektif

    Prosedur dental invasif diduga merupakan faktor risiko terjadinya endokarditis infektif. Contoh prosedur dental invasif yang umum dilakukan dan dikhawatirkan dapat menjadi faktor...(Baca Selengkapnya)

Download Aplikasi Alomedika & Ikuti CME Online-nya!
Kumpulkan poin SKP sebanyak-banyaknya!

  • Tentang Kami
  • Advertise with us
  • Syarat dan Ketentuan
  • Privasi
  • Kontak Kami

© 2024 Alomedika.com All Rights Reserved.