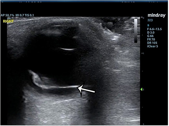
Point-of-care ultrasonography (POCUS) dapat menjadi penunjang diagnosis ablatio retina di unit gawat darurat (UGD), terutama ketika pemeriksaan segmen posterior tidak memungkinkan. Pemeriksaan ini hanya memerlukan waktu yang singkat, dan dapat dilakukan oleh dokter umum di UGD. Ablatio retina merupakan kegawatdaruratan yang memerlukan tata laksana segera karena berisiko kebutaan permanen.
Keberadaan POCUS yang dapat dilakukan dengan cepat oleh dokter UGD juga berperan penting pada kondisi di mana tidak ada dokter spesialis mata. Selain itu, POCUS dapat membantu dokter UGD untuk memastikan pilihan rujukan yang tepat ke dokter spesialis mata, terutama pada lokasi-lokasi di mana pasien perlu bepergian cukup jauh untuk menemui dokter spesialis mata.[1,2,8]
Gejala yang sering dikeluhkan oleh pasien ablatio retina adalah flashes (kilatan cahaya), floaters, penglihatan tiba-tiba buram, atau mata terasa seperti tertutup tirai. Sekitar 10–26% pasien yang datang ke UGD dengan keluhan flashes dan floaters dilaporkan mengalami ablatio retina. Akan tetapi, gejala serupa juga dapat dijumpai pada perdarahan vitreus dan posterior vitreous detachment (PVD).
Kemampuan klinisi untuk membedakan ketiga diagnosis ini berperan penting karena pasien ablatio retina memerlukan penanganan segera oleh dokter spesialis mata. Sedangkan pasien perdarahan vitreus dan PVD dapat dipulangkan dengan follow-up ketat oleh dokter spesialis mata yang bisa dilakukan secara rawat jalan.[1,2,8]
Sekilas tentang Diagnosis Ablatio Retina
Pemeriksaan baku emas untuk diagnosis ablatio retina adalah funduskopi dengan pelebaran pupil menggunakan oftalmoskopi indirek. Akan tetapi, pemeriksaan ini sulit dilakukan di UGD karena keterbatasan peralatan dan sumber daya manusia yang ahli. Pemeriksaan yang biasanya tersedia di UGD adalah oftalmoskopi direk. Oftalmoskopi direk ini dapat mendeteksi perdarahan vitreus tetapi tidak memadai untuk pemeriksaan retina lengkap karena iluminasi dan magnifikasi yang mungkin terbatas serta tidak adanya stereopsis.
Kendala-kendala ini menyebabkan point-of-care ultrasonography (POCUS) okular mulai digunakan sebagai alternatif untuk memeriksa segmen posterior mata, termasuk mendiagnosis ablatio retina. POCUS menggunakan mesin ultrasound portable yang bisa dilakukan di bedside dengan cepat, aman, dan noninvasif oleh dokter UGD yang sudah terlatih. Hal ini bermanfaat karena dokter spesialis mata tidak selalu ada di UGD, terutama di luar jam kerja.[1–4,7,8]
Akurasi Point-of-Care Ultrasonography untuk Diagnosis Ablatio Retina
Studi mengenai akurasi POCUS untuk mendiagnosis ablatio retina pada setting UGD telah banyak dilakukan. Sensitivitas dan spesifisitas yang dilaporkan beragam, tetapi mayoritas studi menunjukkan hasil yang menjanjikan.
Studi oleh Kim et al.
Kim et al. melakukan studi terhadap 115 pasien dan melibatkan 30 operator USG, baik dokter konsultan, dokter umum, maupun residen. Sebelumnya, semua operator diberikan pelatihan didactic course POCUS selama 1 jam. Hasil yang didapat adalah sensitivitas dan spesifisitas POCUS sebesar 75% dan 94%.[5]
Studi oleh Laham et al
Laham et al. melakukan uji diagnostik prospektif pada 4 UGD di California, Amerika Serikat. Penelitian tersebut diikuti oleh 225 pasien yang datang ke UGD dengan keluhan flashes dan floaters. POCUS dilakukan oleh dokter umum, dokter emergency, dan residen yang sebelumnya diberi kuliah selama 30 menit dan pelatihan hands-on selama 30 menit.
Penelitian ini menunjukkan bahwa POCUS memiliki sensitivitas sebesar 96,9% (95% CI=80,6–99,6%) dan spesifisitas sebesar 88,1% (95% CI=81,8–92,4%) untuk mendiagnosis ablatio retina. Sedangkan untuk PVD, POCUS memiliki sensitivitas 42,5% (95% CI=24,7–62,4%) dan spesifisitas 96% (95% CI=91,2–98,2%).[1]
Studi oleh Gottlieb et al
Gottlieb et al. melakukan meta analisis terhadap 11 studi yang terdiri dari 844 pasien. Operator POCUS pada studi ini adalah radiologis dan dokter emergency. Berdasarkan studi ini, POCUS memiliki sensitivitas 94,2% (95% CI=78,4–98,6%) dan spesifisitas 96,3% (95% CI=89,2–98,8%) untuk mendiagnosis ablatio retina.
Prevalensi ablatio retina pada studi ini adalah 7–53,8%. Bila menggunakan prevalensi tertinggi (53,8%), posttest probability hasil POCUS positif adalah 96,7%, sedangkan posttest probability hasil POCUS negatif adalah 6,5%. Artinya, pemeriksaan POCUS yang positif akan sangat mendukung diagnosis ablatio retina, sedangkan pemeriksaan POCUS yang negatif tidak dapat mengeksklusi (rule-out) ablatio retina.[2]
Akan tetapi, bila menggunakan prevalensi terendah (7%), posttest probability hasil POCUS positif adalah 65,4%, sedangkan untuk POCUS negatif adalah 0,4%. Hal ini berarti bahwa pemeriksaan POCUS yang positif belum bisa mengonfirmasi diagnosis ablatio retina, tetapi pemeriksaan POCUS yang negatif dapat mengeksklusi (rule-out) ablatio retina. Hasil yang bertolak belakang ini menunjukkan bahwa akurasi POCUS akan tergantung pada pretest probability.
Studi oleh Propst et al
Studi terbaru mengenai POCUS dilakukan oleh Propst et al. Propst et al. melakukan meta analisis terhadap POCUS yang dilakukan oleh dokter emergency dalam 9 studi (1.189 pasien). Hasil menunjukkan bahwa sensitivitas dan spesifisitas POCUS untuk mendiagnosis ablatio retina adalah 0,94 (95% CI, 0,88–0,97) dan 0,94 (95% CI, 0,85–0,98).[6]
Limitasi Point-of-Care Ultrasonography untuk Diagnosis Ablatio Retina
Kekurangan POCUS adalah sulit untuk membedakan ablatio retina dan posterior vitreous detachment (PVD). POCUS juga terbatas dalam mendiagnosis retinal tear, dengan sensitivitas hanya 48%, padahal retinal tear merupakan salah satu penyebab ablatio retina.
Selain itu, akurasi POCUS juga sangat tergantung pada keterampilan operator. Bila operator kurang terlatih, pasien dengan keluhan floaters ataupun flashes onset baru sebaiknya dirujuk ke dokter spesialis mata untuk evaluasi retina meskipun pemeriksaan POCUS mungkin memberikan hasil negatif ablatio retina.[2,5,6,8]
Kesimpulan
Berdasarkan bukti medis yang ada, POCUS memiliki sensitivitas antara 75–96,9% dan spesifisitas antara 88,1–96,3% untuk mendiagnosis ablatio retina. Pemeriksaan ini dapat dilakukan oleh dokter UGD yang terlatih dan terutama bermanfaat untuk kondisi di mana tidak ada dokter spesialis mata untuk melakukan oftalmoskopi.[1,2]
POCUS dapat dilakukan di bedside dengan cepat, aman, dan noninvasif. Akan tetapi, kekurangannya adalah akurasinya yang sangat tergantung pada keterampilan operator dan kesulitan untuk membedakan ablatio retina dengan PVD. Bila operator belum terlatih melakukan POCUS, pasien dengan flashes dan floaters yang dicurigai mengalami ablatio retina tetap disarankan untuk dirujuk ke dokter spesialis mata untuk evaluasi lebih lanjut.
Direvisi oleh: dr. Felicia Sutarli
