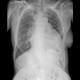
ALO Dokter, mari diskusi, apa saja hal yang dapat kita temui sebagai makna klinis pada fototoraks ini?
Diskusi Dokter
(Konten ini khusus untuk dokter. Registrasi untuk baca selengkapnya)
Tidak mendapatkan kode? Kirim ulang atau Ubah Nomor Ponsel
Mohon Tunggu dalam Detik untuk kirim ulang
 
  
  
 ALO Dokter, mari diskusi, apa saja hal yang dapat kita temui sebagai makna klinis pada fototoraks ini?
 
  ALO Dokter, mari diskusi, apa saja hal yang dapat kita temui sebagai makna klinis pada fototoraks ini?
(Konten ini khusus untuk dokter. Registrasi untuk baca selengkapnya)
 Mohoh maaf. 
 Akibat banyaknya jumlah pertanyaan yang diterima, maka untuk saat ini kami tidak bisa menerima pertanyaan tambahan di website alomedika.com. 
 Untuk membuat pertanyaan, Anda dapat segera mendownload aplikasi Alomedika untuk chat gratis bersama lebih dari 100 dokter pilihan, 24 jam penuh dan waktu tunggu kurang dari 10 menit. 
