Dokter ijin bertanya, bacaan rongent di bawah
Intepretasi hasil rontgen pasien - Diskusi Dokter
general_alomedikaDiskusi Dokter
- Kembali ke komunitas
Intepretasi hasil rontgen pasien
 
  Dokter ijin bertanya, bacaan rongent di bawah
 
   
   
  
  ALO dr. Edi Subangkit,
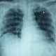
Pendapat saya kalau dari gambar yang dokter lampirkan:
Trakea masih lurus di tengah, tulang juga tidak tampak fraktur.
Kemudian untuk cor mungkin ada kardiomegali dok
Paru: corakan bronkovaskular meningkat dan ada infiltrat di paru kanan.
Diafragma meninggi, tapi sudut costofrenikus kayanya masih lancip dok.
Kalau boleh tau klinis pasien bagaimana ya dok? Ini foto pasien posisi apa dok? Standing atau sitting? Apakah inspirasi maksimal?
CMIIW, Mungkin ada radiolog atau dr paru yang bisa bantu?
Terima kasih.
 
   
  Kalau ada riwayat pengobatan SLE mungkin ada pneumonia dokter atau ada efusi pleura dok sebelah kanan? Mungkin bisa diminta posisi lateral atau right lateral decubitus untuk konfirmasi (karena ada peninggian diafragma di sebelah kanan).
Dengan pertimbangan pasien mengonsumsi imunosupresan dan SLE, apalagi kalau memang ada demam dok. Pengobatan SLE nya apa ya dok? Dosis steroidnya masih loading dose atau sudah rumatan dok?
Apakah dari PF ditemukan suara napas tambahan dok? atau malah suara napas melemah?
 
   
  Dari gambaran ronsen tersebut tampak fibroinfiltrat di kedua lapang paru.
Dari riwayat klinis, kemungkinan dapat disebabkan oleh Lupus Pneumonitis, dd/ dgn TB dan Pneumonia.
Demikian, semoga membantu
 
  Masuk dengan Email
 Masuk dengan Email 
  
  
  
  
  
  
  
  
  
  
  
  
  
  
  
  
  
  
 