Alodokter. Ingin bertanya mengenai seorang ibu/28 thn yang datang untuk mcu dan memberikan hasil xray sbb. Pasien datang dan tdk ada keluhan, tidak ada...
Intepretasi hasil foto rontgen thorax pada pasien ibu menyusui namun tidak memiliki keluhan - Diskusi Dokter
general_alomedikaDiskusi Dokter
- Kembali ke komunitas
Intepretasi hasil foto rontgen thorax pada pasien ibu menyusui namun tidak memiliki keluhan

Alodokter.
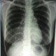
Ingin bertanya mengenai seorang ibu/28 thn yang datang untuk mcu dan memberikan hasil xray sbb.
Pasien datang dan tdk ada keluhan, tidak ada riwayat batuk berdahak lama, batuk berdahak kambuhan, sesak nafas dll, tidak ada riwayat merokok ataupun terpapar asap atau polusi, rokok.
Pasien saat ini sedang menyusui.
Dari hasil pemeriksaan fisik ditemukan tanda vital dalam batas normal, begitu juga pemeriksaan fisik lainnya.
Namun kondisi xray nya seperti berikut, apakah terkesan ada peningkatan corakan bronkovaskuler dok?
Apakah ada perbedaan hasil xray pada org yang sedang menyusui atau sama saja?
Terimakasih banyak atas perhatiannya dok


Alo dokter,
Aku belum menemukan referensi yang menyebutkan adanya perbedaan gambaran chest x-ray pada ibu menyusui. Melihat gambar di atas, aku tidak melihat kesan peningkatan corakan bonkhovaskuler. Mungkin karena foto jadi tidak terlalu jelas ya dok.





Dari gambaran hanya ada corakan bronkovaskular meningkat tapi krn tidak ada keluhan klinis bisa 'diabaikan' saja dok. Tidak ada perbedaan antara gambaran thorax pada ibu menyusui dan normal dok, krn yg berubah kelenjar mamae dan umummya tidak terdeteksi di gambaran xray