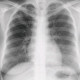
Selamat malam dokter, Izin untuk ekspertisi foto thorax pasien dengan keluhan batuk 1 minggu yang lalu. Sesak, demam disangkal. BB normal, tidak ada keringat...
Penjelasan foto rontgen thorax dengan keluhan batuk 1 minggu - Diskusi Dokter
general_alomedikaDiskusi Dokter
- Kembali ke komunitas
Penjelasan foto rontgen thorax dengan keluhan batuk 1 minggu
Dibalas 03 Desember 2023, 13:25

Anonymous
Dokter Umum
Selamat malam dokter,
Izin untuk ekspertisi foto thorax pasien dengan keluhan batuk 1 minggu yang lalu. Sesak, demam disangkal. BB normal, tidak ada keringat malam, tidak ada riwayat minum obat 6 bulan. Terima kasih dokter 🙏🏻

Dibuat 02 Desember 2023, 18:03
03 Desember 2023, 13:25

dr.Janti Widjaja
Dokter Umum
Kayaknya ini kemungkinan besar ada Bronkitis tapi apapun ada perkebunan. Jadi diagnosis TBc pun belum bisa disangkal