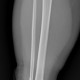
Saya cukup bingung dok untuk menentukan garis fraktur pada os tibia pasien, apakah ini termasuk fraktur inkomplit dok? Karena saya tidak melihat...
Menentukan garis fraktur pada os tibia pasien - Diskusi Dokter
general_alomedikaDiskusi Dokter
- Kembali ke komunitas
Menentukan garis fraktur pada os tibia pasien
  Dibalas 10 September 2023, 16:40 
  
    Anonymous  
  Dokter Umum 
 Saya cukup bingung dok untuk menentukan garis fraktur pada os tibia pasien, apakah ini termasuk fraktur inkomplit dok? Karena saya tidak melihat diskontinuitas tulang sejelas saya melihat diskontinuitas pada fibula
 
  
  Dibuat 10 September 2023, 13:17 
   10 September 2023, 16:09 
  
    dr. Yohannes Toban Layuk Allo, M.Kes, Sp.OT(K), Subsp. Cedera Olahraga dan Artroskopi  
  Dokter Spesialis Ortopedi 
  Alo dokter, fragmen tibia ada di distal melibatkan metafisis dan epifisis, ini termasuk fraktur intraartikuler     
    
  
   10 September 2023, 16:40 
  
    dr.Rico Alexander Schram,Sp.OT  
  Dokter Spesialis Ortopedi 
  Alo dokter, setuju dengan pendapat dr.Yohannes Toban, saya melihat adanya garis fraktur pada bagian distal tibia daerah yang kita sebut dengan tibial plafond (pilon), dan medial maleolus nya. Baiknya supaya lebih jelas, boleh menambahkan rontgen Ankle joint.   
  
  Masuk dengan Email
 Masuk dengan Email 
  
  
  
  
  
  
  
  
  
  
  
  
  
  
  
  
 