Saya mau bertanya: apakah perlu dilakukan swab test untuk pasien dengan gambaran ro thoraks suspek bronkitis dengan hasil rapid test non reaktif padahal...
Intepretasi gambaran suspek bronkitis pada rontgen thoraks PA dengan hasil rapid test non reaktif - Diskusi Dokter
general_alomedikaDiskusi Dokter
- Kembali ke komunitas
Intepretasi gambaran suspek bronkitis pada rontgen thoraks PA dengan hasil rapid test non reaktif
Dibalas 07 Desember 2020, 07:58

dr....
Dokter Umum
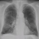
Saya mau bertanya: apakah perlu dilakukan swab test untuk pasien dengan gambaran ro thoraks suspek bronkitis dengan hasil rapid test non reaktif padahal tidak ada gejala batuk, pilek, sesak napas, sakit tenggorokan atau demam pada pasien ini?

Dibuat 06 Desember 2020, 22:10
07 Desember 2020, 07:25

dr.Dian Apriliana, Sp. P
Dokter Spesialis Paru
Halo dok...
Pasien usia berapakah? Cewek atau cowok. Untuk gambaran rontgennya kesannya infiltrat bilateral ya. Dokter bisa melakukan penilaian ews. Coba dinilai berapa skor mya ya dok. Saran saya tetap swab.
Pasien usia berapakah? Cewek atau cowok. Untuk gambaran rontgennya kesannya infiltrat bilateral ya. Dokter bisa melakukan penilaian ews. Coba dinilai berapa skor mya ya dok. Saran saya tetap swab.
