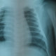
Anak umur 1 bulan dengan keluhan sesak nafas memberat 1 hari ini, batuk pilek 1 minggu. Muntah 2x saat batuk. Dari hasil ronsen jantungnya seperti ini....
Diskusi Dokter
(Konten ini khusus untuk dokter. Registrasi untuk baca selengkapnya)
Tidak mendapatkan kode? Kirim ulang atau Ubah Nomor Ponsel
Mohon Tunggu dalam Detik untuk kirim ulang
 
  
  
 Anak umur 1 bulan dengan keluhan sesak nafas memberat 1 hari ini, batuk pilek 1 minggu. Muntah 2x saat batuk. Dari hasil ronsen jantungnya seperti ini....
 
  Anak umur 1 bulan dengan keluhan sesak nafas memberat 1 hari ini, batuk pilek 1 minggu. Muntah 2x saat batuk. Dari hasil ronsen jantungnya seperti ini. Apakah normal?
(Konten ini khusus untuk dokter. Registrasi untuk baca selengkapnya)
 Mohoh maaf. 
 Akibat banyaknya jumlah pertanyaan yang diterima, maka untuk saat ini kami tidak bisa menerima pertanyaan tambahan di website alomedika.com. 
 Untuk membuat pertanyaan, Anda dapat segera mendownload aplikasi Alomedika untuk chat gratis bersama lebih dari 100 dokter pilihan, 24 jam penuh dan waktu tunggu kurang dari 10 menit. 
