Alo dokter! Ini ada kasus pasien menarik nih! Laki-laki, 35 tahun, tanpa keluhan, dilakukan rontgen thoraks saat medical check up untuk melamar...
Kasus laki-laki 35 tahun tanpa keluhan dengan kelainan foto polos thoraks - Diskusi Dokter
general_alomedikaDiskusi Dokter
- Kembali ke komunitas
Kasus laki-laki 35 tahun tanpa keluhan dengan kelainan foto polos thoraks
Dibalas 21 Agustus 2018, 19:10
dr.Bedry Qintha
Dokter Umum
Alo dokter!
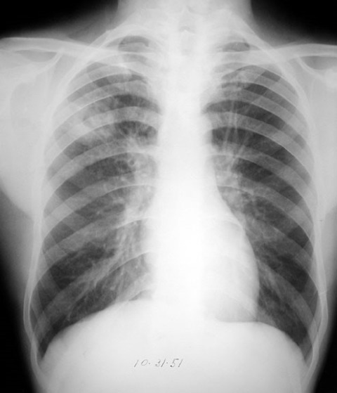
Ini ada kasus pasien menarik nih! Laki-laki, 35 tahun, tanpa keluhan, dilakukan rontgen thoraks saat medical check up untuk melamar pekerjaan.
Ditemukan gambaran sebagai berikut :

Menurut dokter semua, apakah kemungkinan diagnosis banding pasien ini?
Dibuat 16 Agustus 2018, 14:38
21 Agustus 2018, 19:10
dr.Antonius Sarwono Sandi Agus Sp.BTKV, FIHA, MH, FICS.
Dokter Spesialis Bedah Thoraks Kardio Vaskuler
dr. Jeffry Kristiawan
kesan yang saya dapatkan
Agt 17, 2018 at 13:40 PM
tampak corakan broncovesikuler yang meningkat paracardial jika tanpa keluhan bisa jadi karena pasien merokok
tampak gambaran seperti coin di regio paru dextra lobus superior. kesan infeksi jamur, cavitas TB paru, abses paru dan massa. dipertegas corakan nya meningkat di lobus superior. kesan ada TB sebelumnya?
mungkin bisa dipastikan dengan perkusi dan auskultasinya bagaimana ya dok. serta anamnesis riwayat medis sebelumnya.
pertimbangan VCT sepertinya bisa.
saran bisa lakukan ro. thorax lateral untuk menghilangkang curiga masa.
mhon koreksinya. dan trimakasih sharingnya
halo TS semua, setuju dengan dr Jeffry, usul untuk dilakukan CT scan thorax saja agar dapat terlihat dari paru dan mediastinumnya
foto lateral thoraks hanya untuk melihat masalah sternum saja
BTK
16 Agustus 2018, 17:02
dr.Jeffry Prabowo
Dokter Umum
ijin dok, boleh tau mungkin test HIV nya bagaimana ? koq iya ada cavutasnya dok di kanan atas, pada saat di foto pasien dalam keadaan telanjang dada tanpa alat atau apapun kab di dada dok ? terimakasih
17 Agustus 2018, 13:40
dr. Jeffry Kristiawan
Dokter Umum
kesan yang saya dapatkan
tampak corakan broncovesikuler yang meningkat paracardial jika tanpa keluhan bisa jadi karena pasien merokok
tampak gambaran seperti coin di regio paru dextra lobus superior. kesan infeksi jamur, cavitas TB paru, abses paru dan massa. dipertegas corakan nya meningkat di lobus superior. kesan ada TB sebelumnya?
mungkin bisa dipastikan dengan perkusi dan auskultasinya bagaimana ya dok. serta anamnesis riwayat medis sebelumnya.
pertimbangan VCT sepertinya bisa.
saran bisa lakukan ro. thorax lateral untuk menghilangkang curiga masa.
mhon koreksinya. dan trimakasih sharingnya
tampak corakan broncovesikuler yang meningkat paracardial jika tanpa keluhan bisa jadi karena pasien merokok
tampak gambaran seperti coin di regio paru dextra lobus superior. kesan infeksi jamur, cavitas TB paru, abses paru dan massa. dipertegas corakan nya meningkat di lobus superior. kesan ada TB sebelumnya?
mungkin bisa dipastikan dengan perkusi dan auskultasinya bagaimana ya dok. serta anamnesis riwayat medis sebelumnya.
pertimbangan VCT sepertinya bisa.
saran bisa lakukan ro. thorax lateral untuk menghilangkang curiga masa.
mhon koreksinya. dan trimakasih sharingnya