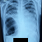
Alo dokter, izin diskusi dok. Pasien anak 3 tahun datang dgn keluhan demam 4 mgg,batuk4 mgg, bb turun tidak ada kontak tbc skrg, kgb tdk membesar, rontgen...
Tbc reinfeksi atau bronchopneumonia? Bagaimana melakukan diagnosisnya? - Diskusi Dokter
general_alomedikaDiskusi Dokter
- Kembali ke komunitas
Tbc reinfeksi atau bronchopneumonia? Bagaimana melakukan diagnosisnya?
Dibalas 25 September 2025, 18:32

Anonymous
Dokter Umum
Alo dokter, izin diskusi dok. Pasien anak 3 tahun datang dgn keluhan demam 4 mgg,batuk4 mgg, bb turun tidak ada kontak tbc skrg, kgb tdk membesar, rontgen broncopneumonia infiltrat bertambah terakhir rontgen 1 tahun yg lalu hasil broncopneumonia evaluasi dari pengbtan tbc 6 bulan karena pasien riwayat pengobatan tbc 1 tahun yg lalu 6 bulan tuntas. Izin dok penegakan diagnosis apakah ini tbc relapse atau hanya bronkopneumonia. Karena uji mantoux tdk bsa tegak karena pasien pernah rwyt tbc pasti hasil positif, pemeriksaan apalagi untuk menegakan diagnosis tbc reinfeksi pada anak?
Dibuat 25 September 2025, 08:28
(Konten ini khusus untuk dokter. Registrasi untuk baca selengkapnya)