Alo dok. Saya punya pasien usia 29 th/laki-laki dengan keluhan batuk berdahak 2 minggu terakhir. Riwayat minum obat mulai dari ambroxol, GG, siladex, namun...
Pasien laki-laki usia 29 tahun dengan batuk berdahak selama 2 minggu - Diskusi Dokter
general_alomedikaDiskusi Dokter
- Kembali ke komunitas
Pasien laki-laki usia 29 tahun dengan batuk berdahak selama 2 minggu

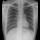
Alo dok. Saya punya pasien usia 29 th/laki-laki dengan keluhan batuk berdahak 2 minggu terakhir. Riwayat minum obat mulai dari ambroxol, GG, siladex, namun tidak kunjung sembuh. antigen negatif, 1 th yang lalu pernah ada riwayat batuk lama dan cenderung muncul saat dingin. 1 th yang lalu sudah dilakukan rontgen dan pemeriksaan sputum hasilnya normal.
Kecurigaan saya saat ini bronkitis akut, untuk terapi terbaik nya bisa diberikan apa ya? Karena hampir semua obat batuk sudah pernah dikonsumsi pasien.
Terimakasih


Alodokter izin ikut bediskusi
Penatalaksanaan bronkitis akut secara umum berupa terapi suportif yang berfokus untuk mengontrol batuk. Hal ini disebabkan karena 90% penyebab penyakit adalah virus. Berhenti merokok serta menghindari iritan berperan penting dalam mencegah berulangnya penyakit bronkitis akut. Vaksinasi flu dan pneumonia direkomendasikan pada beberapa populasi tertentu.
Namun, karena sudah 1 tahun yang lalu pemeriksaan sputum dan rontgen, akan lebih baik jika diulang kembali dokter. Berikut sumber yang saya baca, cmiiw
https://www.alomedika.com/penyakit/pulmonologi/bronkitis-akut/edukasi-dan-promosi-kesehatan
