Dear rekan sejawat, Mohon konsul dan pendapat rekan sejawat untuk pasien laki-laki, 30 tahun, pengendara ojek online jatuh dari sepeda motor. Pasien...
Diagnosis laki-laki 30 tahun nyeri saat inspirasi akibat jatuh dari motor + hasil Xray - Diskusi Dokter
general_alomedikaDiskusi Dokter
- Kembali ke komunitas
Diagnosis laki-laki 30 tahun nyeri saat inspirasi akibat jatuh dari motor + hasil Xray
Dear rekan sejawat,
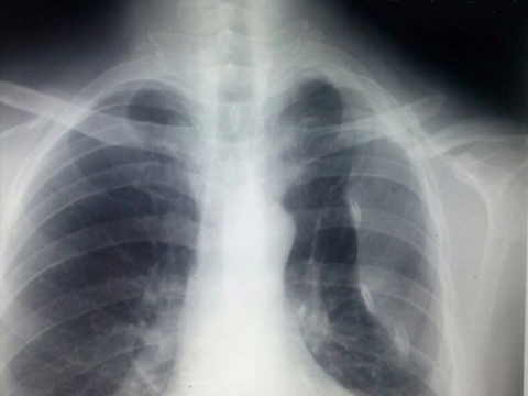
Mohon konsul dan pendapat rekan sejawat untuk pasien laki-laki, 30 tahun, pengendara ojek online jatuh dari sepeda motor.
Pasien merasakan nyeri di bahu kiri dan juga nyeri saat inspirasi.
Tanda vital normal dan stabil.
Tidak ada cedera di tempat lain.
Apakah sejawat pernah mendapatkan kasus dengan komplikasi seperti ini?
terima kasih

Dear dr. Alni,
Saya pernah menemukan kasus serupa. Pada pasien ini pertama dapat dilihat dulu pada pemeriksaan fisik apakah ada suara napas yang hilang pada salah satu atau kedua sisi paru. Kemudian dapat juga dilakukan perkusi pada dinding dada, jika terdapat hipersonor dan didukung dengan gambaran radiologis seperti di atas maka mungkin terjadi suatu pneumothorax.
Manajemen pneumothorax terutama adalah mengawasi adanya napas cepat, sianosis, maupun perubahan tanda vital seperti takhikardia dan hipotensi.
Sehingga dapat diberikan oksigen, kemudian jika diperlukan dapat juga dilakukan pemasangan chest tube/aspirasi sederhana.
Mungkin dapat diinfokan bagaimana tatalaksana pada kasus pasien ini dok?
Terimakasih.
Salam Sejawat,
Pada foto ro thorax di atas, tampak ada gambaran fraktur klavikula sinistra serta gambaran pneumothorax yang kemungkinan terjadi akibat fraktur tersebut.
Untuk penanganan pneumothorax bisa dengan pemasangan ICC. Sedangkan untuk penanganan fraktur klavikula, bila ada pergeseran >2cm, maka bisa dipertimbangkan untuk terapi secara operatif.
dear dr. Alni
kalau saya setuju dengan pendapat dr. Georgiana dimana hasil dari foto tersebut menunjukkan adanya gambaran fraktur klavikula dan pneumothoraks. Mungkin penanganannya bisa juga dilakukan secara konservatif kecuali ada luka terbuka baru bisa dipertimbangan secara operatif.
Terima kasih dr. Winda, dr. Georgiana, dan dr. Retno atas masukannya.
Well noted. Terima kasih dr. David