Perubahan prolaktinoma setelah masa kehamilan dan laktasi masih belum banyak mendapat perhatian. Pengaruh dari pengobatan prolaktinoma terhadap aktivitas menyusui selama masa postpartum juga perlu dipertimbangkan.
Prolaktinoma adalah tumor pituitari yang sering terjadi pada wanita usia subur. Sekitar 50% dari adenoma pituitari merupakan prolaktinoma. Patofisiologi prolaktinoma masih belum sepenuhnya diketahui, namun diduga berkaitan dengan ekspansi monoklonal laktotrof di kelenjar pituitari yang sebagian besar bersifat jinak, berbatas tegas, dan tidak invasif.
Prolaktinoma dapat menyebabkan peningkatan kadar prolaktin atau hiperprolaktinemia. Tujuan terapi prolaktinoma adalah untuk mengurangi volume tumor dan defek yang disebabkan oleh kompresi tumor. Tujuan lain dari terapi, utamanya untuk wanita, yaitu mengembalikan fungsi fertilitas, fungsi seksual, dan menghilangkan galactorrhea.[1-5]
Pengaruh Prolaktinoma pada Fertilitas dan Kehamilan
Prolaktinoma merupakan penyebab utama naiknya level prolaktin atau hiperprolaktinemia. Pada wanita dengan prolaktinoma, infertilitas dapat terjadi dikarenakan fase luteal yang tidak adekuat, lebih spesifiknya lagi karena terjadi pemendekan fase luteal.[2,3,5]
Pada wanita dengan prolaktinoma yang hamil, telah dilaporkan adanya risiko pertumbuhan tumor sebanyak 3% pada mikroadenoma dan 5% pada makroadenoma tanpa terapi radiasi atau tindakan pembedahan.[3,6] Kadar prolaktin pada wanita dengan mikro dan makroprolaktinoma sebelum hamil lebih tinggi dari wanita normal saat memulai kehamilan. Menariknya, saat memasuki trimester dua dan tiga, kadar prolaktin di semua kelompok hampir sama.[3,7,8]
Pengaruh Prolaktinoma pada Menyusui
Setelah persalinan, kadar prolaktin dan ukuran tumor harus dievaluasi ulang. Secara umum, menyusui tidak memiliki efek berbahaya pada pertumbuhan tumor. Pengobatan dengan agonis dopamin, jika masih diperlukan, dapat ditunda selama ibu ingin menyusui.[2,3,8,9]
Efek Agonis Dopamin Terhadap Menyusui
Agonis dopamin, seperti bromocriptine, merupakan terapi untuk prolaktinoma. Menyusui dikontraindikasikan pada pasien yang menerima agonis dopamin karena pengobatan tersebut dapat menghambat proses laktasi. Agonis dopamin digunakan untuk supresi laktasi, namun sekarang penggunaannya sudah mulai ditinggalkan karena adanya risiko kematian ibu akibat infark miokard. [12]
Pada pasien yang ingin menyusui, maka pengobatan dengan agonis dopamin ditunda hingga proses menyusui selesai. Tidak ada kontraindikasi absolut untuk menyusui pada wanita dengan prolaktinoma selama tidak ada gejala pembesaran tumor, seperti nyeri kepala atau defek lapang pandang. Menyusui diperbolehkan karena tidak terkait dengan peningkatan risiko membesarnya tumor ataupun peningkatan kadar prolaktin karena menyusui.[3,8-10]
Luaran Prolaktinoma Setelah Kehamilan dan Menyusui
Beberapa peneliti mengembangkan teori bahwa kehamilan dapat berperan sebagai terapi prolaktinoma karena banyak data yang menunjukkan kadar prolaktin yang lebih rendah setelah persalinan dibandingkan sebelum persalinan pada wanita dengan prolaktinoma. Hal ini diduga karena adanya perdarahan mikro dan nekrosis pada kelenjar pituitari selama kehamilan.[3,11]
Secara khusus, terdapat beberapa kasus remisi yang dilaporkan pada pasien dengan hiperprolaktinemia setelah melahirkan. Dalam sebuah penelitian, 60% wanita dengan mikroadenoma dan lebih dari 70% wanita dengan makroadenoma memiliki kadar prolaktin postpartum yang lebih rendah daripada sebelum hamil. Lebih dari 10% mengalami ovulasi normal dan menstruasi tanpa intervensi medis setelah persalinan.[3]
Bukti Ilmiah Luaran Prolaktinoma Setelah Kehamilan dan Menyusui
Sebuah penelitian retrospektif oleh Domingue et al, mengevaluasi 73 pasien prolaktinoma. Sebanyak 54 pasien terdiagnosis sebagai mikroprolaktinoma dan 19 pasien terdiagnosis sebagai makroprolaktinoma. Dari seluruh objek penelitian, terdapat 104 kehamilan yang berhasil bertahan melewati trimester pertama. Berdasarkan penelitian tersebut, sebanyak 41% wanita mengalami remisi dalam pemantauan 22 bulan setelah persalinan dan laktasi.
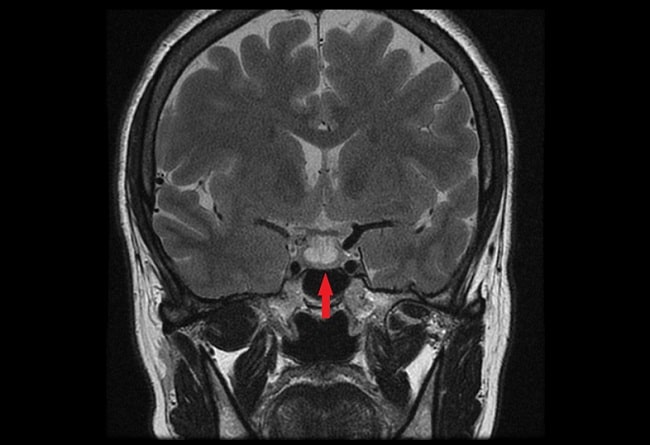
Wanita yang mengalami remisi memiliki ukuran tumor yang lebih kecil saat sebelum hamil. Tidak terdapat perbedaan tingkat remisi yang signifikan antara tipe mikroprolaktinoma dengan makroprolaktinoma. Setelah pemeriksaan MRI pertama yang dilakukan untuk pemantauan, terdapat penurunan ukuran tumor pada 23% wanita yang hamil, dan 39% pada wanita yang menyusui.[11]
Dalam sebuah kohort retrospektif di India yang melibatkan 25 wanita dengan 31 kehamilan, dilaporkan terdapat 41,6% remisi hiperprolaktinemia yang diinduksi kehamilan. Kemungkinan remisi lebih tinggi didapatkan pada pasien dengan durasi pengobatan agonis dopamin sebelum kehamilan yang lebih panjang, ukuran adenoma pra-kehamilan yang kecil, dan kadar prolaktin awal yang lebih rendah. Dalam studi ini, remisi diperiksa menggunakan MRI pada kunjungan post partum terakhir dan kadar prolaktin serum.[13]
Kesimpulan
Prolaktinoma merupakan tumor yang sering terjadi pada wanita usia subur. Beberapa bukti ilmiah menunjukkan bahwa kehamilan dan menyusui dapat menginduksi remisi dari prolaktinoma. Remisi dapat diperiksa dengan melihat ukuran tumor melalui MRI dan kadar prolaktin serum. Faktor yang meningkatkan kemungkinan remisi adalah durasi terapi dengan agonis dopamin sebelum kehamilan, ukuran prolaktinoma yang lebih kecil, serta kadar prolaktin baseline yang lebih rendah.
Terlepas dari itu, perlu dicatat bahwa penggunaan agonis dopamin pada pasien prolaktinoma selama menyusui tidak diperbolehkan. Agonis dopamin, seperti bromocriptine, dapat menghambat produksi ASI dan telah dilaporkan menyebabkan kematian ibu akibat peningkatan risiko infark miokard.
