Tidak semua kasus trauma tumpul limpa atau lien membutuhkan manajemen operatif. Penelitian yang ada saat ini menilai bahwa manajemen nonoperatif trauma tumpul limpa memiliki tingkat keberhasilan yang tinggi. Namun, perlu diketahui bahwa pilihan manajemen operatif maupun nonoperatif perlu mempertimbangkan banyak hal, antara lain kondisi pasien, risiko dari pengambilan keputusan, maupun modalitas yang dimiliki oleh suatu rumah sakit.[1,2]
Pada ulasan ini, akan dibahas mengenai pertimbangan-pertimbangan pilihan manajemen trauma tumpul limpa, indikasi pemilihan manajemen dan pengambilan keputusan, serta risiko dari masing-masing manajemen.
Multitrauma pada Area Abdomen
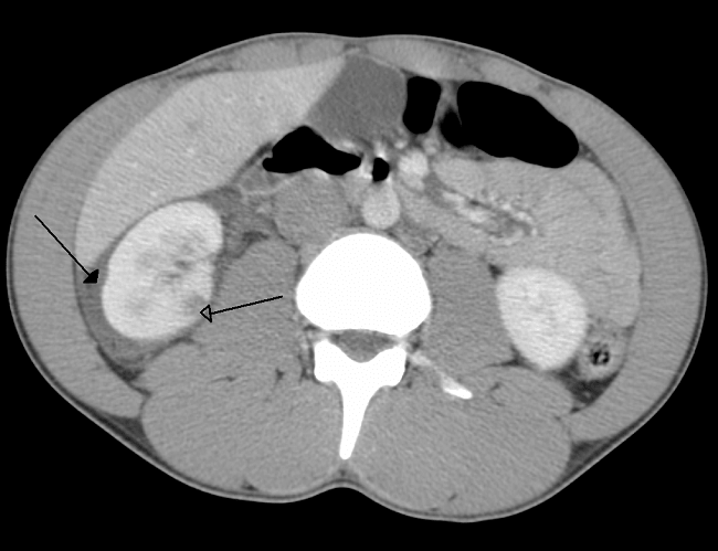
Organ intraabdomen terlibat sekitar 30% pada kasus multitrauma, dengan angka kejadian trauma limpa adalah sebesar 16%. Trauma tumpul abdomen lebih umum terjadi dibandingkan dengan trauma tembus atau ruptur limpa pada instalasi gawat darurat di Eropa tengah. Penatalaksanaan trauma tumpul abdomen cukup kompleks karena sering diikuti dengan adanya trauma pada organ lain, seperti kepala, toraks, dan ekstremitas.[1,3]
Mekanisme trauma limpa bervariasi secara geografis karena faktor komunitas. Trauma tumpul paling banyak diakibatkan oleh kecelakaan kendaraan bermotor, jatuh dan kecelakaan saat olahraga.[4,5]
Hingga saat ini, manajemen nonoperatif merupakan standar manajemen pada trauma tumpul limpa pada pasien dengan hemodinamik yang stabil. Manajemen nonoperatif ini memiliki angka keberhasilan yang tinggi, yaitu melebihi 80‒90%.[1,2]
Manajemen Operatif pada Trauma Tumpul Limpa
Manajemen operatif untuk trauma limpa harus dilakukan pada pasien hemodinamik non-responder yang tidak stabil. Kondisi ini dapat diprediksi dan diamati pada pasien trauma dengan Injury Severity Score (ISS) tinggi, cedera limpa derajat tinggi (derajat III-IV atau IV-V sesuai American Association for The Surgery of Trauma), dan multitrauma.[6,7]
Selain itu, manajemen operatif juga dapat dilakukan di pusat trauma yang rendah atau di daerah perifer di mana tidak ada unit perawatan intensif atau pemantauan intensif nonoperatif tidak dapat dilakukan.[6,7]
Manajemen operatif yang dapat dilakukan antara lain adalah splenektomi dan splenorafi. Dengan meningkatnya manajemen nonoperatif, tren operasi splenektomi menurun, dan penggunaan splenorafi menjadi jarang dilakukan, yaitu dengan angka operasi masing-masing adalah 35‒24% dan 6‒1%. Upaya untuk melakukan penyelamatan limpa parsial dilaporkan pada 50‒78% kasus, tetapi ketika manajemen nonoperatif gagal, splenektomi adalah teknik operasi yang lebih dipilih.[8,9]
Risiko Operatif Trauma Tumpul Limpa
Beberapa risiko dan komplikasi terkait operasi antara lain adalah kematian dan perdarahan ulang pascaoperasi. Angka kematian keseluruhan yang dilaporkan pada splenektomi dalam trauma mendekati 2%, dengan kejadian perdarahan pascaoperasi setelah splenektomi berkisar antara 1,6‒3%, tetapi dengan angka kematian yang cukup besar yaitu mendekati 20%.[10,11]
Selain itu, splenektomi memiliki risiko terjadinya overwhelming postsplenectomy infection (OPSI) oleh karena limpa sebagai organ yang mengakumulasi jaringan limfoid terbesar di tubuh telah hilang sehingga memudahkan terjadinya infeksi yang dapat berakibat kematian. Penggunaan transplantasi limpa autologus dengan cara meninggalkan potongan limpa di dalam perut untuk menghindari risiko OPSI telah diteliti, tetapi tidak terbukti adanya penurunan morbiditas atau mortalitas.[10,11]
Manajemen Nonoperatif pada Trauma Tumpul Limpa
Manajemen nonoperatif dianggap sebagai standar emas untuk perawatan pasien dengan trauma tumpul limpa yang memiliki kondisi hemodinamik stabil setelah resusitasi awal, tanpa adanya peritonitis dan cedera terkait yang memerlukan laparotomi. Di pusat trauma yang tinggi dengan fasilitas yang lengkap, tingkat keberhasilan manajemen nonoperatif mendekati 90%. Tingkat kesuksesan manajemen nonoperatif trauma tumpul limpa di pusat trauma level 1 lebih tinggi dibanding di pusat trauma level 2 atau 3.[12,13]
Salah satu modalitas yang dapat digunakan pada manajemen nonoperatif trauma tumpul limpa adalah angiografi/angioembolisasi (AG/AE). Haan et al. menyarankan bahwa indikasi AG/AE adalah pseudo-aneurisma (perdarahan aktif saat kedatangan) yang dilakukan CT scan, hemoperitoneum yang signifikan, dan cedera limpa tingkat tinggi.[14]
Lebih dari 80% cedera limpa sesuai AAST derajat IV-V berhasil ditangani secara non operasi dengan AG/AE. Pada sebuah studi multisenter berskala besar pada 10.000 pasien, didapatkan hasil bahwa AG/AE dikaitkan dengan penurunan kemungkinan splenektomi dan pada pasien yang semakin awal dilakukan AG/AE, semakin sedikit yang menjalani splenektomi.[14,15]
Beberapa studi meta analisis menunjukkan peningkatan yang signifikan dalam keberhasilan manajemen nonoperatif setelah pengenalan protokol AG/AE (OR 0,26, 95% CI 0,13-0,53, p <0,002). Angka kegagalan tanpa AG/AE secara signifikan lebih tinggi dibandingkan dengan AG/AE pada cedera limpa sesuai AAST derajat IV dan V (43,7% dibanding 17,3%, p = 0,035, dan 83,1% vs. 25,0%, p = 0,016, pada masing-masing derajat).[16,17]
Keuntungan Manajemen Nonoperatif Trauma Tumpul Limpa
Keuntungan manajemen nonoperatif dibandingkan manajemen operatif pada trauma tumpul limpa adalah biaya rumah sakit yang lebih rendah, menghindari laparotomi nonterapeutik, tingkat komplikasi intra-abdominal dan transfusi darah yang lebih rendah, mortalitas yang lebih rendah, pemeliharaan fungsi imunologi serta pencegahan OPSI.[18,19]
Meskipun demikian, perlu diingat bahwa ada risiko kegagalan manajemen nonoperatif, dengan tingkat kegagalan manajemen nonopertif dilaporkan antara 4 -15%. Pada cedera limpa sesuai AAST dengan derajat di atas IV, maka risiko kegagalan manajemen nonoperatif mencapai 54,6%. Sedangkan menurut penelitian lain, pasien dengan cedera limpa sesuai AAST derajat III-V mencapai tingkat keberhasilan 87%.[20,21]
Pasien dengan ISS yang tinggi lebih cenderung mengalami kegagalan manajemen nonoperatif. Menurut literatur, dua nilai ISS yang secara signifikan terkait dengan kegagalan manajemen nonoperatif berada di atas 15 atau 25. Temuan ini sejalan dengan peningkatan risiko cedera organ terkait pada nilai ISS yang lebih tinggi.[22,23]
Kesimpulan
Trauma tumpul limpa dapat diterapi dengan manajemen operatif dan non peratif. Manajemen nonoperatif merupakan standar emas untuk pasien dengan kondisi hemodinamik stabil setelah resusitasi awal, tanpa adanya peritonitis dan cedera terkait yang memerlukan laparotomi.
Berdasarkan penelitian angioembolisasi dinilai menurunkan biaya rumah sakit, menghindari laparotomi nonterapeutik, menurunkan tingkat komplikasi intra-abdominal dan memerlukan transfusi darah yang lebih rendah, mortalitas yang lebih rendah, pemeliharaan fungsi imunologi serta pencegahan overwhelming postsplenectomy infection (OPSI) akibat operasi.
Namun, ada risiko terjadinya kegagalan manajemen nonoperatif. Pasien dengan cedera limpa American Association for The Surgery of Trauma (AAST) > IV dan Injury Severity Score (ISS) yang lebih tinggi cenderung mengalami kegagalan manajemen nonoperatif. Tren manajemen operatif saat ini telah semakin menurun dengan adanya penerapan radiologi intervensi yang intensif dan manajemen koagulasi modern.
Direvisi oleh: dr. Hudiyati Agustini
