Masuk atau Daftar

Alo! Masuk dan jelajahi informasi kesehatan terkini dan terlengkap sesuai kebutuhanmu di sini!
atau dengan
Facebook
Masuk dengan Email
Masukkan Kode Verifikasi
Masukkan kode verifikasi yang telah dikirimkan melalui SMS ke nomor
Kami telah mengirim kode verifikasi. Masukkan kode tersebut untuk verifikasi
Kami telah mengirim ulang kode verifikasi. Masukkan kode tersebut untuk verifikasi
Terjadi kendala saat memproses permintaan Anda. Silakan coba kembali beberapa saat lagi.
Selanjutnya

Tidak mendapatkan kode? Kirim ulang atau Ubah Nomor Ponsel

Mohon Tunggu dalam Detik untuk kirim ulang

Apakah Anda memiliki STR?
Alo, sebelum melanjutkan proses registrasi, silakan identifikasi akun Anda.
Ya, Daftar Sebagai Dokter
Belum punya STR? Daftar Sebagai Mahasiswa

Nomor Ponsel Sudah Terdaftar

Nomor yang Anda masukkan sudah terdaftar. Silakan masuk menggunakan nomor [[phoneNumber]]

Masuk dengan Email

Silakan masukkan email Anda untuk akses Alomedika.
Lupa kata sandi ?

Masuk dengan Email

Silakan masukkan nomor ponsel Anda untuk akses Alomedika.

Masuk dengan Facebook

Silakan masukkan nomor ponsel Anda untuk verifikasi akun Alomedika.

KHUSUS UNTUK DOKTER

Logout
Masuk
Download Aplikasi
  • CME
  • Webinar
  • E-Course
  • Diskusi Dokter
  • Penyakit & Obat
    Penyakit A-Z Obat A-Z Tindakan Medis A-Z
Artikel Terkait
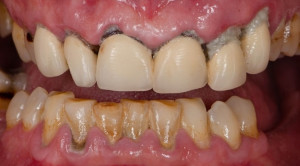
  • Pedoman Tata Laksana Penyakit Periodontal – Ulasan Guideline Terkini
    Pedoman Tata Laksana Penyakit Periodontal – Ulasan Guideline Terkini

    Pedoman nasional pelayanan klinis (PNPK) tata laksana penyakit periodontal diterbitkan pada tahun 2025 oleh Kementerian Kesehatan Republik Indonesia sebagai acuan nasional bagi...(Baca Selengkapnya)

  • Optimalkan Masa Kehamilan dengan Multiple Micronutrient Supplements untuk Ibu Hamil
    Optimalkan Masa Kehamilan dengan Multiple Micronutrient Supplements untuk Ibu Hamil

    Suplemen mikronutrien multipel atau multiple micronutrient supplements (MMS) merupakan intervensi gizi berbasis bukti yang digunakan untuk mengoptimalkan kebutuhan nutrisi selama masa kehamilan. Nutrisi saat...(Baca Selengkapnya)

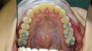
  • Seberapa Sering Scaling Gigi Harus Dilakukan?
    Seberapa Sering Scaling Gigi Harus Dilakukan?

    Seberapa sering scaling gigi perlu dilakukan merupakan topik yang relevan secara klinis karena akumulasi plak dan kalkulus merupakan faktor etiologis utama penyakit...(Baca Selengkapnya)

  • Perbandingan Semen Ionomer Kaca dan Resin Komposit Sebagai Bahan Tambal Gigi
    Perbandingan Semen Ionomer Kaca dan Resin Komposit Sebagai Bahan Tambal Gigi

    Semen ionomer kaca dan resin komposit memiliki karakteristik berbeda, sehingga pemilihan antara keduanya sebagai bahan restorasi atau tambal gigi dapat memengaruhi keberhasilan...(Baca Selengkapnya)

  • Manfaat dan Risiko Penggunaan Obat Kumur Antiseptik Sehari-hari
    Manfaat dan Risiko Penggunaan Obat Kumur Antiseptik Sehari-hari

    Obat kumur antiseptik banyak dijual bebas dan dipasarkan sebagai cara yang baik untuk menjaga kesehatan gigi dan mulut. Obat kumur antiseptik dianggap...(Baca Selengkapnya)

  • Silver Diamine Fluoride Tidak Efektif Mencegah Karies
    Silver Diamine Fluoride Tidak Efektif Mencegah Karies

    Silver diamine fluoride (SDF) digadang-gadang sebagai agen potensial dalam upaya pencegahan karies, baik pada gigi sulung maupun permanen. Namun, bukti ilmiah mengenai...(Baca Selengkapnya)

  • Red Flag Amalgam Tattoo dan Pigmentasi Mukosa
    Red Flag Amalgam Tattoo dan Pigmentasi Mukosa

    Red flag atau tanda bahaya pada amalgam tattoo perlu dibedakan dengan perubahan pigmentasi mukosa yang disebabkan oleh lesi ganas seperti melanoma mukosa....(Baca Selengkapnya)

  • Hubungan Dua Arah Antara Penyakit Periodontal dan Diabetes
    Hubungan Dua Arah Antara Penyakit Periodontal dan Diabetes

    Bukti ilmiah menunjukkan terdapat keterkaitan timbal balik antara diabetes dan penyakit periodontal. Diabetes dapat meningkatkan risiko terjadinya penyakit periodontal, sedangkan penyakit periodontal...(Baca Selengkapnya)

  • Toksisitas Restorasi Dental Amalgam
    Toksisitas Restorasi Dental Amalgam

    Saat ini, isu terkait toksisitas restorasi dental amalgam menjadi perhatian dan kontroversi di kalangan masyarakat awam. Padahal, bahan restorasi dental amalgam telah...(Baca Selengkapnya)

  • Pedoman Manajemen HIV Selama Kehamilan 2024 – Ulasan Guideline Terkini
    Pedoman Manajemen HIV Selama Kehamilan 2024 – Ulasan Guideline Terkini

    Pedoman manajemen HIV selama kehamilan dipublikasikan oleh Department of Health and Human Services Amerika Serikat pada tahun 2024. Pedoman ini berisi mengenai...(Baca Selengkapnya)

Selanjutnya >>

Download Aplikasi Alomedika & Ikuti CME Online-nya!
Kumpulkan poin SKP sebanyak-banyaknya!

  • Tentang Kami
  • Advertise with us
  • Syarat dan Ketentuan
  • Privasi
  • Kontak Kami

© 2024 Alomedika.com All Rights Reserved.