Tonsilektomi merupakan tindakan pembedahan yang sering dilakukan pada anak sehingga dokter perlu memahami indikasi yang tepat untuk tindakan ini. Dengan memahami indikasi tonsilektomi, kualitas manajemen pasien yang dipertimbangkan untuk menjalani tindakan ini dapat ditingkatkan.
Tonsilektomi menyumbang sekitar 15% dari semua prosedur bedah pada anak berusia di bawah 15 tahun. Dua kondisi yang menjadi alasan dilakukannya tonsilektomi adalah infeksi tenggorokan atau faringotonsilitis rekuren dan obstructive sleep disordered breathing (OSDB).[1-3]
Anatomi dan Fungsi Tonsil
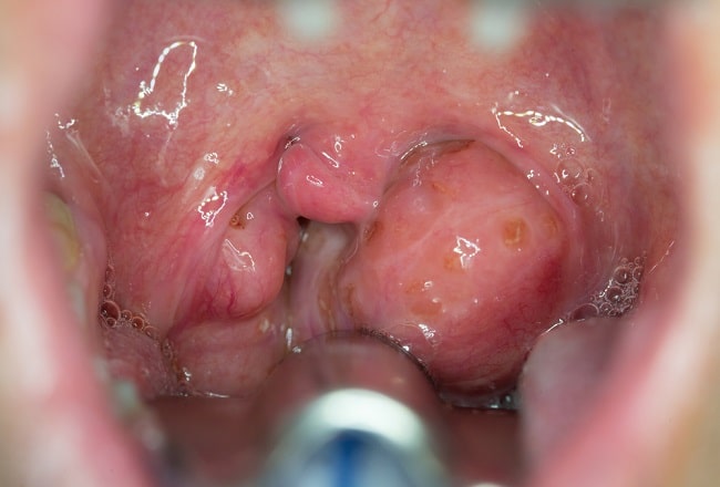
Tonsil palatina merupakan jaringan limfoepitelial yang berada di antara rongga mulut dan orofaring. Tonsil berperan sebagai pertahanan garda depan yang membentuk respons imun inisial terhadap patogen yang tertelan melalui mulut atau terhirup melalui hidung. Aktivitas tonsil ini sangat berperan besar pada usia 3–10 tahun.
Epitelium tonsil berbentuk kripta dengan kanal khusus yang mengandung sel “M”. Sel ini akan mengambil antigen, membentuk vesikel, dan membawa antigen ke dalam folikel limfoid. Setelah itu, limfokin dan immunoglobin akan teraktivasi.[1-3]
Indikasi Tonsilektomi pada Anak
Tonsilektomi merupakan suatu tindakan bedah yang mengangkat organ tonsil secara total dengan atau tanpa adenoidektomi. Pengangkatan tonsil dilakukan dengan cara diseksi ruangan peritonsil antara kapsul tonsil dan dinding otot. Dua indikasi umum tonsilektomi adalah faringotonsilitis rekuren dan gangguan pernapasan saat tidur.[1]
Infeksi Tenggorokan Rekuren
Dalam kriteria Paradise, American Academy of Otolaryngology–Head and Neck Surgery merekomendasikan tonsilektomi pada faringotonsilitis dengan minimal frekuensi berikut:
- ≥7 episode selama tahun tersebut
- ≥5 episode per tahun selama 2 tahun terakhir
- ≥ 3 episode per tahun selama 3 tahun terakhir
Minimal frekuensi tersebut harus disertai dengan presentasi klinisi nyeri tenggorokan dengan 1 atau lebih manifestasi berikut:
- Suhu >38,3oC
- Limfadenopati servikal (pembesaran nodus limfa >2 cm)
- Eksudat tonsilar
- Kultur positif dari Streptococcus β hemoliticus group A (SBHGA)
Setiap episode infeksi tenggorokan dan manifestasi klinisinya harus terdokumentasi dalam rekam medis dan tata laksana yang sesuai sudah diberikan. Bila tidak terdokumentasi sepenuhnya, observasi perlu dilakukan kembali minimal selama 2 episode dengan pola frekuensi dan gejala yang konsisten dengan riwayat sebelumnya.
Hal ini juga berlaku pada anak yang sudah memenuhi kriteria indikasi tonsilektomi, tetapi tidak tercatat di rekam medis. Mengingat manifestasi infeksi tenggorokan rekuren dapat membaik seiring waktu, observasi selama 12 bulan direkomendasikan sebelum tonsilektomi dipertimbangkan kembali.[1]
Obstructive Sleep Disordered Breathing (OSDB)
Gangguan pernapasan obstruktif saat tidur atau obstructive sleep disordered breathing (OSDB) merupakan obstruksi parsial atau total pada saluran napas atas saat tidur yang menyebabkan gangguan oksigenisasi/ventilasi dan pola tidur. Diagnosis OSDB ditegakkan berdasarkan riwayat penyakit, pemeriksaan fisik, rekaman suara/video, dan saturasi oksigen. Hipertrofi tonsil dan adenoid dengan ukuran 3+ dan 4+ merupakan penyebab tersering OSDB pada anak.[1,3,4]
OSDB juga dikaitkan dengan peningkatan risiko gangguan perilaku, seperti agresi, hiperaktivitas, atau bahkan depresi pada anak. Gangguan atensi dan memori yang berkaitan dengan OSDB juga dapat menurunkan performa dan prestasi di sekolah. Berbagai penelitian menyatakan bahwa anak dengan OSDB memiliki kualitas hidup yang buruk.[1,3,4]
Selain itu, OSDB juga dapat mengakibatkan enuresis (mengompol di malam hari) dan gagal tumbuh. Perubahan hormonal dan pengeluaran energi yang berlebih pada obstruksi saluran napas berkontribusi pada risiko gagal tumbuh pada anak. Oleh karena itu, pada anak dengan OSDB yang mengalami gangguan di atas perlu dipertimbangkan untuk dilakukan tonsilektomi.[1,3,4]
Obstructive Sleep Apnea (OSA)
American academy of Pediatrics dan American Academy of Sleep Medicine merekomendasikan tindakan tonsilektomi sebagai manajemen utama dalam penatalaksanaan OSA karena hipertrofi adenotonsil merupakan penyebab umum kondisi ini. Tonsilektomi pada anak dengan obstructive sleep apnea dapat dipertimbangkan apabila polisomnografi sudah dilakukan dan menunjukkan indeks apnea-hypopnea >1, nilai pulse oximetry <92%, atau keduanya.
Keuntungan yang maksimal dari tonsilektomi didapatkan pada anak dengan OSA yang tidak disertai oleh obesitas dan sindrom tertentu, seperti Down syndrome. Tingkat kesuksesan tonsilektomi tergantung pada usia, berat badan, derajat keparahan OSA, dan kondisi medis yang menyertai. Pada anak yang obesitas, tindakan tonsilektomi hanya dapat mengurangi keluhan OSA <50%.[1,3,5]
Manfaat dan Risiko Tonsilektomi
Pada tonsilitis rekuren, manfaat tonsilektomi yang sesungguhnya dibandingkan dengan observasi dan medikamentosa masih diperdebatkan. Sebuah studi komparatif melaporkan bahwa anak dengan infeksi tenggorokan rekuren yang menjalani tonsilektomi mengalami perbaikan dalam frekuensi infeksi, tingkat keparahan, dan kehadiran di sekolah dalam 1 tahun setelah tindakan. Perbaikan pada infeksi SBHGA juga ditemukan lebih rendah setelah 1 tahun pascaoperasi. Namun, manfaat ini tidak bertahan lama dan bukti manfaat jangka panjang tonsilektomi masih kurang.[1]
Studi kohort oleh Yan et al menemukan bahwa kadar IgA menurun secara signifikan setelah tonsilektomi, walaupun masih dalam batas normal. Peneliti tidak menemukan peningkatan risiko infeksi saluran napas setelah tonsilektomi. Namun, studi ini hanya memantau kondisi anak pada bulan 1 dan 3 pascaoperasi saja.[6]
Dengan jangka pemantauan yang lebih panjang, yaitu 10–30 tahun kehidupan anak, studi kohort yang dilakukan oleh Byars et al menemukan bahwa adenodektomi dan tonsilektomi berhubungan dengan peningkatan 2–3 kali lipat lebih tinggi mengalami penyakit saluran napas atas. Terdapat pula peningkatan risiko penyakit alergi dan infeksi.[7]
Di balik manfaatnya, terdapat beberapa komplikasi akibat tonsilektomi, yaitu muntah, perdarahan, nyeri, infeksi, dan masalah anestesi. Oleh sebab itu, manfaat dan risiko tonsilektomi perlu dipertimbangkan lagi pada anak dengan faringotonsilitis rekuren, termasuk pada pasien yang memenuhi kriteria Paradise.[1]
Pada anak dengan OSDB, tonsilektomi terbukti sebagai tata laksana yang efektif.[1]
Manajemen dan Rujukan Infeksi Tenggorokan Rekuren pada Anak di Layanan Primer
Tata laksana konservatif, yaitu watchful waiting, direkomendasikan dilakukan pada anak dengan frekuensi infeksi yang tidak memenuhi kriteria Paradise, yaitu faringotonsilitis rekuren <7 episode pada tahun terakhir, atau <5 episode per tahun dalam 2 tahun terakhir, atau <3 episode per tahun selama 3 tahun terakhir.[1]
Pada layanan primer, watchful waiting diharapkan dapat menghindari intervensi yang tidak perlu dan risiko bedah yang dapat timbul. Watchful waiting meliputi pemberian antibiotik yang sesuai pada infeksi tenggorokan yang terdiagnosis maupun suspek. Pasien harus dimonitor secara ketat dengan kunjungan klinik yang rutin dan tiap episode faringotonsilitis didokumentasikan secara akurat.
Beberapa studi memberikan bukti lebih lanjut bahwa anak dengan infeksi tenggorokan rekuren dapat mengalami resolusi spontan saat observasi dan menunggu tonsilektomi. Setelah diobservasi dalam 9 bulan, 27% anak yang mengalami infeksi tenggorokan 5 episode per tahun tidak lagi memenuhi kriteria untuk tonsilektomi.[1]
Hal yang perlu didokumentasikan adalah keluhan pasien, suhu tubuh, eritema faring dan tonsil, ukuran tonsil, eksudat tonsilar, adenopati servikal (ukuran dan nyeri), serta pemeriksaan mikrobiologi dari bakteri SBHGA. Data pendukung berupa ketidakhadiran di sekolah, penyebaran infeksi dalam keluarga, riwayat penyakit jantung rematik pada keluarga, atau glomerulonefritis dapat menjadi pertimbangan klinisi merujuk pasien ke dokter spesialis THT untuk tindakan tonsilektomi.[1]
Kriteria Pasien yang Perlu dirujuk ke Dokter Spesialis
Pasien-pasien yang perlu dirujuk ke dokter spesialis THT untuk tindakan tonsilektomi adalah anak dengan faringotonsilitis rekuren yang memenuhi kriteria Paradise serta anak dengan OSDB atau OSA yang didiagnosis dengan polisomnografi.
Rujukan untuk tindakan tonsilektomi juga perlu dipertimbangkan pada anak-anak dengan kondisi khusus, yaitu alergi/intoleransi antibiotik multipel; periodic fever, aphthous stomatitis, pharyngitis, and adenitis (PFAPA) yang rekuren; atau riwayat abses peritonsilar >1 kali. Pada kondisi ini, meskipun anak tidak memenuhi kriteria Paradise, tindakan tonsilektomi dapat dipertimbangkan.[1,3,8,9]
Kesimpulan
Tonsilektomi merupakan tindakan bedah yang mengangkat semua bagian tonsil termasuk kapsulnya dengan cara diseksi ruangan peritonsil antara kapsul tonsil dan dinding otot. Indikasi tonsilektomi pada anak adalah infeksi tenggorokanan yang memenuhi kriteria Paradise, obstructive sleep disordered breathing, dan obstructive sleepa apnea.
Namun, karena adanya risiko morbiditas dan komplikasi tonsilektomi yang lebih besar pada anak-anak, pertimbangan tonsilektomi harus dilakukan dengan cermat. Sebaiknya dilakukan tata laksana konservatif (watchful awaiting) terlebih dahulu pada anak yang tidak memenuhi kriteria tonsilektomi.
