Penatalaksanaan perdarahan subdural traumatik akut (subdural hematoma/SDH) dapat dilakukan secara non operasi atau konservatif maupun operasi. Perdarahan subdural adalah jenis perdarahan yang paling banyak ditemukan pada pasien dengan cedera kepala berat, dengan angka kejadian sekitar 49% dari kasus cedera kepala berat.[1]
Perdarahan SDH bersifat lebih berat jika dibandingkan dengan perdarahan epidural (epidural hematoma/EDH) karena umumnya disertai dengan cedera otak lainnya seperti kontusio serebri atau perdarahan intraserebral. Hal ini menyebabkan angka kematian akibat SDH lebih banyak dengan prognosis yang lebih buruk.[1]
Tata Laksana Non Operatif pada Hematoma Subdural Traumatik
Penatalaksanaan perdarahan SDH hingga saat ini masih menggunakan guidelines yang dikeluarkan oleh The Brain Trauma Foundation and The Congress of Neurosurgical Surgeons, Amerika, tahun 2006.
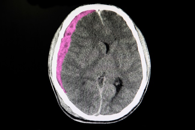
Pasien dengan SDH dapat dilakukan tata laksana non operatif jika dari hasil pemeriksaan CT scan kepala didapatkan ketebalan perdarahan kurang dari 10 mm dan pergeseran garis tengah atau midline shift kurang dari 5 mm.[2,3]
Pasien SDH dengan ketebalan kurang dari 10 mm dan midline shift kurang dari 5 mm memerlukan tindakan operatif jika ditemukan nilai glasgow coma scale (GCS) turun ≥2 poin dari saat pasien mengalami trauma hingga masuk ke rumah sakit dan/atau pupil anisokor atau pupil fixed dan dilatasi.
Selain itu, pada keadaan nilai glasgow coma scale (GCS) turun ≥2 poin dari saat pasien mengalami trauma hingga masuk ke rumah sakit dan/atau intracranial pressure (ICP) >20 mmHg juga merupakan indikasi dilakukannya tindakan operatif.[2,3]
Prinsip umum tata laksana pada SDH sama seperti prinsip Advanced Trauma Life Support (ATLS) dengan menstabilkan terlebih dahulu kondisi ABC, yaitu airway, breathing, circulation. Jika sudah stabil, baru dilanjutkan untuk tata laksana SDH, untuk tatalaksana non operatif pada SDH dapat berupa:
Oksigenasi untuk mencegah hipoksia
- Posisi kepala ditinggikan atau head up 30-45
- Mempertahankan tekanan darah mean arterial pressure (MAP) lebih dari 60 mmHg
- Pemberian larutan hiperosmolar, seperti manitol, atau hipertonik saline, seperti NaCl 3%, untuk menurunkan tekanan intrakranial yang meningkat.
- Analgetik, seperti paracetamol, untuk mengurangi nyeri
- Antikonvulsan, seperti diazepam dan phenytoin, jika pasien mengalami kejang
- Antifibrinolitik, seperti asam traneksamat, untuk membantu menghentikan perdarahan[4,5]
Pilihan Pemberian Larutan Hiperosmolar atau Hipertonik Saline pada Hematoma Subdural Traumatik
Pilihan pemberian larutan hiperosmolar atau hipertonik saline didasarkan oleh adanya klinis kontraindikasi pada pemberian salah satu cairan. Kontraindikasi pemberian manitol yaitu pasien dengan hipotensi dan dengan osmolalitas serum darah 320 mOsmol/kg H2O, sehingga jika pada pasien dengan hipotensi dan osmolalitas serum darah 320 mOsmol/kg H2O sebaiknya menggunakan larutan hipertonik saline.[4,5]
Perhatian Khusus pada Tata Laksana Non Operatif Hematoma Subdural Traumatik
Pasien dengan perdarahan SDH yang dilakukan tatalaksana awal dengan non operatif harus dilakukan observasi ketat secara klinis dengan menilai GCS dan kondisi pupil. Dari hasil salah satu penelitian disebutkan sekitar 11% kasus yang dilakukan tata laksana awal non operatif berubah menjadi tata laksana operatif.[3]
Pada pasien dengan lanjut usia dengan riwayat konsumsi obat pengencer darah juga harus mendapatkan perhatian khusus karena bisa mengalami perburukan dalam rentang waktu 9 jam hingga 3 hari pasca trauma.[3]
Tata Laksana Operatif pada Hematoma Subdural Traumatik
Indikasi tata laksana operatif pada SDH traumatik akut dipertimbangkan dengan pemeriksaan CT scan kepala dan tidak dari pemeriksaan GCS, yang meliputi:
- Ketebalan perdarahan >10 mm
- Pergeseran garis tengah atau midline shift >5 mm[2,3]
Selain kedua hal di atas, adanya tanda peningkatan tekanan intrakranial (TIK), seperti nyeri kepala, mual dan muntah, serta penurunan kesadaran sampai koma, juga dapat menjadi pertimbangan dilakukan operasi. Tanda lain peningkatan TIK adalah cushing’s triad. Cushing’s triad terdiri dari hipertensi, bradikardi, dan pola napas irregular. Keadaan ini merupakan tanda impending herniasi otak dan merupakan kegawatdaruratan.[6]
Jika terdapat indikasi untuk tindakan operatif maka harus dilakukan secepatnya untuk mencegah terjadinya kerusakan otak sekunder yang lebih lanjut. Waktu kecepatan operasi sangat berpengaruh terdapat prognosis.[5]
Operasi Hematoma Subdural Traumatik pada GCS 3 sampai 5
Pada pasien dengan nilai GCS 3 sampai 5, operasi masih mungkin dilakukan dengan sebelumnya melakukan edukasi ke keluarga mengenai outcome operasi. Pada keadaan ini, outcome operasi yang diharapkan tidak untuk mengembalikan kemampuan fungsional pasien, tetapi dilakukan dengan tujuan utama life saving. Kemampuan fungsional yang dimaksud adalah kemampuan dasar yang dinilai dengan activity of daily living (ADL).[5]
Prognosis
Prognosis pasien dengan perdarahan SDH dipengaruhi beberapa faktor seperti nilai GCS saat masuk rumah sakit, usia dan juga kecepatan tindakan operatif. Nilai GCS awal 3 sampai 5 memiliki angka mortalitas 62 sampai 90%. Pasien usia lebih dari 65 tahun dengan perdarahan SDH, memiliki angka mortalitas hingga 82%.
Hasil penelitian menyatakan, jika operasi dilakukan dalam waktu kurang dari 4 jam sejak trauma maka angka mortalitasnya sebesar 30% namun jika operasi dilakukan dalam waktu lebih dari 4 jam sejak trauma maka angka mortalitasnya meningkat hingga 90% namun hal ini dipengaruhi juga dengan nilai GCS awal pasien saat sebelum tindakan operasi.[5]
Kesimpulan
Sampai saat ini, penatalaksanaan SDH masih menggunakan pedoman The Brain Trauma Foundation and The Congress of Neurosurgical Surgeons, Amerika tahun 2006. Penanganan pasien dengan perdarahan SDH harus tepat dan cepat sesuai dengan indikasi kegawatdaruratannya. Keputusan dilakukan tindakan non operatif pada SDH dilakukan berdasarkan temuan klinis dan CT scan kepala. Apabila tindakan non operatif sudah diputuskan, pemantauan klinis GCS, defisit neurologis dan edukasi pasien sangat perlu dilakukan.
