Membedakan gambaran pneumonia dan edema paru pada pasien congestive heart failure - Radiologi Ask The Expert - Diskusi Dokter

general_alomedika

Alo dr. Yuki Mulyani, SpRad, Izin bertanya Dok, Sewaktu saya jada IGD. Ada pasien CHF dengan gejala edema paru. Setelah itu dilakukan pemeriksaan Rontgen,...

Diskusi Dokter

  • Kembali ke komunitas
  • Membedakan gambaran pneumonia dan edema paru pada pasien congestive heart failure - Radiologi Ask The Expert

    Dibalas 25 Mei 2021, 12:11
    Anonymous
    Anonymous
    Dokter Umum

    Alo dr. Yuki Mulyani, SpRad, 

    Izin bertanya Dok, Sewaktu saya jada IGD. Ada pasien CHF dengan gejala edema paru. Setelah itu dilakukan pemeriksaan Rontgen, tetapi pada jawaban radiologi dikatakan pasien juga memiliki bronchopneumonia. 

    Bagimana ya, Dok, membedakan edema paru BP pada pasien CHF. 

25 Mei 2021, 12:11
dr. Yuki Mulyani Sp Rad K TR
dr. Yuki Mulyani Sp Rad K TR
Dokter Spesialis Radiologi

Alo dok

Terima kasih atas pertanyaannya

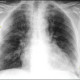
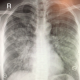
Pada edema paru, seringkali Tampak perbercakan yang simetris di 2/3 medial kedua lapang paru dengan bat wing appearance. Pada Bronkopneumonia, perbercakannya seringkali asimetris dan jarang ditemukan pada medial paru Terima kasih