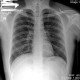
Alodok.. Izin berdiskusi dok hasil radiologi pasien Tn. F, laki-laki, 22 thn keluhan: batuk >2 minggu, batuk berdahak disertai darah + hanya saat pagi hari,...
Batuk lebih dari 2 minggu, berdahak, disertai darah - Diskusi Dokter
general_alomedikaDiskusi Dokter
- Kembali ke komunitas
Batuk lebih dari 2 minggu, berdahak, disertai darah
  Dibalas 25 Agustus 2023, 08:40 
  
    dr. Fatikhatul Baruni  
  Dokter Umum 
 Alodok.. Izin berdiskusi dok hasil radiologi pasien Tn. F, laki-laki, 22 thn keluhan: batuk >2 minggu, batuk berdahak disertai darah + hanya saat pagi hari, demam -, bb turun -, keringat malam hari -, sesak -, nyeri dada -, mual - , muntah -
Pemeriksaan: Rhonki (-/-) - Wheezing (-/-)
kalau dilihat dari hasil cxr nya apakah mengarah ke bronchitis dok? terimakasih 🙏🏻
 
  
  Dibuat 24 Agustus 2023, 18:54 
   25 Agustus 2023, 08:40 
  
    dr.Dian Apriliana, Sp. P  
  Dokter Spesialis Paru 
  Saran saya: berikan obat penghenti batuk darah nya, lalu cek dahak gene xpert bila sdh tidak batuk darah.   
   24 Agustus 2023, 20:00 
  
    dr.Tri Haryati Paramita, Sp.PD  
  Dokter Spesialis Penyakit Dalam 
  Malam Dok.. ijin ikut berdiskusi
Pada foto rontgen thorax kesan terdapat multiple kavitasi, yang dapat mengarah ke DD TB paru, bronkiektasisPada pemeriksaan fisik dapat dicari apakah terdapat limfadenopati multiple
Pada pemeriksaan penunjang dapat ditambahkan lab darah seperti darah lengkap dan LED, sputum TCM (bila memungkinkan)
Selain itu, dapat dilengkapi juga faktor resiko pasien lainnya seperti riwayat paparan TB, paparan asap (merokok, lingkungan kerja) yang dapat Semoga dapat membantu 🙏  
 Pada foto rontgen thorax kesan terdapat multiple kavitasi, yang dapat mengarah ke DD TB paru, bronkiektasisPada pemeriksaan fisik dapat dicari apakah terdapat limfadenopati multiple
Pada pemeriksaan penunjang dapat ditambahkan lab darah seperti darah lengkap dan LED, sputum TCM (bila memungkinkan)
Selain itu, dapat dilengkapi juga faktor resiko pasien lainnya seperti riwayat paparan TB, paparan asap (merokok, lingkungan kerja) yang dapat Semoga dapat membantu 🙏
  25 Agustus 2023, 05:41 
  
    dr. Fatikhatul Baruni  
  Dokter Umum 
 baik dokter..terimakasih banyak dok atas sharing ilmunya, sangat membantu 🙏🏻
  24 Agustus 2023, 19:45 
  
    dr. Andi Aditya Ernanda Ardiansyah  
  Dokter Umum 
  Alo dokter, saya rasa x foto yang terlihat bersih dok, jika masih tidak membaik dirujuk saja dok ke dokter spesialis paru dokter, cmiiw   
  
  Masuk dengan Email
 Masuk dengan Email 
  
  
  
  
  
  
  
  
  
  
  
  
  
  
 