Pasien laki-laki usia 62th datang ke IGD dengan keluhan utama sesak napas meningkat sejak 2 hari yll, sesak hilang timbul, sesak tidak menciut, meningkat...
Diagnosis sesak yang tepat? - ALOPALOOZA Paru-paru - Diskusi Dokter
general_alomedikaDiskusi Dokter
- Kembali ke komunitas
Diagnosis sesak yang tepat? - ALOPALOOZA Paru-paru
Dibalas 01 Juli 2025, 22:25

dr.Meidina
Dokter Umum
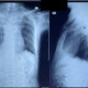
Pasien laki-laki usia 62th datang ke IGD dengan keluhan utama sesak napas meningkat sejak 2 hari yll, sesak hilang timbul, sesak tidak menciut, meningkat dengan aktivitas dan batuk. Sesak sudah dirasakan sejak 2 bulan yang lalu dan telah dirawat di sebuah RSUD. Pada rawatan yang lalu, dilakukan pemeriksaan dahak dengan hasil negatif.
Pasien juga mengeluhkan adanya batuk berdahak yang meningkat sejak 5 hari yang lalu. Dahak berwarna jernih, bersifat hilang timbul sejak 2 bulan yang lalu.
Apakah pasien dapat didiagnosis dengan CAP atau ada diagnosis lain yang lebih tepat?
Dibuat 30 Juni 2025, 16:06
(Konten ini khusus untuk dokter. Registrasi untuk baca selengkapnya)