Interesting Neurology Case pada pasien laki-laki dengan kejang fokal berulang dan gangguan kognitif - Diskusi Dokter

general_alomedika

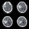
ALO Dokter. Laki-laki 24 tahun dengan kejang fokal berulang dan gangguan kognitif. Hasil CT scan mempelihatkan gambaran berikut:Apakah sejawat mengenali...

Diskusi Dokter

  • Kembali ke komunitas
  • Interesting Neurology Case pada pasien laki-laki dengan kejang fokal berulang dan gangguan kognitif

    Dibalas 29 Mei 2025, 20:29
    dr. Ade Wijaya SpN
    dr. Ade Wijaya SpN
    Dokter Spesialis Saraf

    ALO Dokter. Laki-laki 24 tahun dengan kejang fokal berulang dan gangguan kognitif. Hasil CT scan mempelihatkan gambaran berikut:

    Apakah sejawat mengenali gambaran khas CT scan tersebut?

    Apa kemungkinan diagnosis yang paling mungkin ?

    Dan PF khas apakah yang sejawat dapat temui pada kasus ini?


    Mari berdiskusi :)

29 Mei 2025, 19:55
dr. Ade Wijaya SpN
dr. Ade Wijaya SpN
Dokter Spesialis Saraf
Gambara diatas disebut sebagai tram track sign yaitu kalsifikasi di regio kortikal otak khas pada sindrom Sturge Weber disertai hemicerebral atrophy.


Pada pemeriksaan fisik biasanya kita akan menemukan port wine stain pada area wajah pasien.

29 Mei 2025, 20:29
Terimakasih atas sharing ilmu nya dokter 🙏