Pasien sesak sudah bertahun tahun, memberat sejak kemarin. Riwayat batuk lama menahun, riwayat batuk darah disangkal. Pengobatan TB di sangkal. Mohon konsul...
Interpretasi hasil rontgen toraks pasien dengan sesak dan batuk menahun - Diskusi Dokter
general_alomedikaDiskusi Dokter
- Kembali ke komunitas
Interpretasi hasil rontgen toraks pasien dengan sesak dan batuk menahun

Pasien sesak sudah bertahun tahun, memberat sejak kemarin. Riwayat batuk lama menahun, riwayat batuk darah disangkal. Pengobatan TB di sangkal. Mohon konsul bacaan radiologi ini dok. Terimakasih sebelumnya dokter


Alodokter izin ikut berdiskusi,
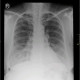
Untuk Interpretasi Rontgen Toraks yang dokter sampaikan:
Trakea yang tidak berada di garis tengah menandakan adanya deviasi trakea, Ukuran jantung yang terlihat normal, hemidiafragma kanan lebih tinggi dibandingkan hemidiafragma kiri, ditemukan sudut yang menumpul dibagian sebelah kiri sehingga bisa dicurigai adanya efusi pleura. Telihat adanya proses infiltrasi pada bagian bawah paru yang biasa dapat mengarah ke pneumonia ataupun tb paru primer aktif.
Berikut sumber cara membaca rontgen yang saya baca, mungkin ada sejawat lain yang ingin menambahkan, CMIIW:
https://www.alomedika.com/interpretasi-rontgen-toraks