MRI pada pasien dicurigai hidrosefalus - Bedah Saraf Ask The Expert - Diskusi Dokter

general_alomedika

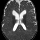
Alo dr. Petra, Sp.BS. Dok ada kasus seorang anak usia 1 tahun. Riwayat lahir prematur. Pada usia 3 bulan dicurigai adanya hidrosefalus dari pemeriksaan fisik...

Diskusi Dokter

  • Kembali ke komunitas
  • MRI pada pasien dicurigai hidrosefalus - Bedah Saraf Ask The Expert

    Dibalas 02 Desember 2021, 14:19

    Alo dr. Petra, Sp.BS. 

    Dok ada kasus seorang anak usia 1 tahun. Riwayat lahir prematur. Pada usia 3 bulan dicurigai adanya hidrosefalus dari pemeriksaan fisik dan USG. Namun saat diperiksa dengan MRI, ada 2 dokter bedah saraf yang memiliki pendapat berbeda, 1 mengatakan benar ada namun minimal di extracranial dan 1 dokter lagi mengatakan bahwa TIDAK ADA hidrosefalus. Hal tersebut membuat bingung orangtua pasien. Pada usia 1 tahun ini, apa yang harus dilakukan oleh orangtua pasien tersebut dok, perlukah MRI ulang? Keadaan anak saat ini secara fisik tidak terlihat kelainan, perkembangannya masih sesuai usianya jika disetarakan dengan usia lahirnya. 

    Terimakasih. 

02 Desember 2021, 14:19

hai doc Ajeng,

Hidrosefalus adalah kondisi dimana produksi, distribusi, atau eliminasi cairan serebrospinal terganggu, sehingga menyebabkan akumulasi CSF dalam sistem ventrikel kepala.

Kasus yang dokter deskripsikan memiliki beberapa faktor, antara lain prematuritas, ukuran kepala yang membesar, dan tumbuh kembang yang normal.

Prematuritas meningkatkan kemungkinan terjadinya perdarahan intraventrikular pada bayi, yang dapat menimbulkan hidrosefalus. Makrosefali, yaitu ukuran kepala yang melebihi persentil 75, juga perlu dicurigai adanya hidrosefalus.

Perlu diingat bahwa pada beberapa anak, dapat terjadi Benign enlargement of the subarachnoid spaces (BESS) yaitu suatu variasi normal dengan ukuran kepala besar.

Tumbuh kembang yang normal merupakan tanda baik, karena hidrosefalus sering menyebabkan tumbuh kembang anak melambat.

Saat ini, menurut saya yang penting dilakukan:

1. Mencatat dan membandingkan lingkar kepala anak pada kurva pertumbuhan. Bila secara konsisten ukuran kepala mengikuti garis pada kurva, bisa dibilang bahwa ukuran kepala yang besar merupakan suatu variasi normal. BESS juga memiliki riwayat keluarga dengan keluhan sama, sehingga perlu dilakukan anamnesis ulang.

2. Melakukan MRI kepala non kontras, dan membawa MRI yang lama sebagai pembanding. Bila memang kondisi hidrosefalus, maka akan bertambah berat seiring waktu, sehingga perbandingan antara MRI sebelum dan MRI baru sangat penting.

3. Memastikan bahwa tumbuh kembang anak normal, dan berkonsultasi dengan ahli Pediatrik dan Bedah Saraf.

Semoga jawaban ini dapat membantu!

Ref:

Benign enlargement of the subarachnoid space in infancy | Radiology Reference Article | Radiopaedia.org