Pasien wanita 25 tahun mengeluhkan nyeri pada dada kanan yang meningkat sejak 2 bulan sebelum masuk rumah sakit. Nyeri sudah dirasakan sejak 1 tahun ini....
Nyeri dada pada pasien dengan Ca Paru - ALOPALOOZA Paru-paru - Diskusi Dokter
general_alomedikaDiskusi Dokter
- Kembali ke komunitas
Nyeri dada pada pasien dengan Ca Paru - ALOPALOOZA Paru-paru
 
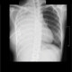
  Pasien wanita 25 tahun mengeluhkan nyeri pada dada kanan yang meningkat sejak 2 bulan sebelum masuk rumah sakit. Nyeri sudah dirasakan sejak 1 tahun ini. Nyeri dirasakan seperti ditusuk-tusuk, hilang timbul, tidak dipengaruhi aktivitas dan perubahan posisi. Nyeri meningkat saat batuk dan mengedan. Nyeri menjalar ke punggung dan lengan kanan.
Pasien telah dikenal dengan adenokarsinoma paru, dan terpasang pigtail catheter dextra selama kurang lebih 3 bulan ini. Pasien dalam perawatan kemoterapi siklus kedua.
Mungkinkah saat ini nyeri disebabkan oleh pigtail yang terpasang, dan bagaimana tatalaksananya? Pasien juga menanyakan berapa lama pigtail ini perlu dipasang. Mohon advicenya, Dok.
(Konten ini khusus untuk dokter. Registrasi untuk baca selengkapnya)
 
  Masuk dengan Email
 Masuk dengan Email 
  
  
  
  
  
  
  
  
  
  
  
  
  
  
 