Alo dokter izin berdikusi, pasien wanita usia 57 tahun dengan keluhan batuk lama disertai nyeri dada kanan, ada riwayat penurunan berat badan. Pasien meminta...
Pemeriksaan penunjang lanjutan yang tepat pada pasien batuk disertai nyeri dada kanan - Diskusi Dokter
general_alomedikaDiskusi Dokter
- Kembali ke komunitas
Pemeriksaan penunjang lanjutan yang tepat pada pasien batuk disertai nyeri dada kanan
  Dibalas 29 Maret 2024, 12:18 
  
    Anonymous  
  Dokter Umum 
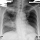
 Alo dokter izin berdikusi, pasien wanita usia 57 tahun dengan keluhan batuk lama disertai nyeri dada kanan, ada riwayat penurunan berat badan. Pasien meminta second opinion karena ragu terhadap diagnosis dokter, dari dokter ada yang mengatakan bahwa diagnosis pasien lebih ke arah TB namun dari rontgen pasien juga dapat di diagnosis banding ke arah tumor. Izin dokter pada pasien, pemeriksaan lanjutan apa yang tepat untuk menegakkan diagnosis pasti?
Dan dari rontgen terlampir, pasien ini lebih cenderung ke TB atau bukan ya dok? Terimakasih dokter
 Dibuat 28 Maret 2024, 14:55 
 (Konten ini khusus untuk dokter. Registrasi untuk baca selengkapnya)
 
  Masuk dengan Email
 Masuk dengan Email 
  
  
  
  
  
  
  
  
  
  
  
  
  
  
 