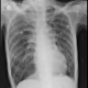
Pasien laki-laki 49 tahun dibawa keluarga ke IGD dengan sesak nafas meningkat sejak 1 hari SMRS. Sesak menciut, sesak meningkat dengan aktivitas, sesak tidak...
Tatalaksana PPOK Mengancam Nyawa - ALOPALOOZA Paru-paru - Diskusi Dokter
general_alomedikaDiskusi Dokter
- Kembali ke komunitas
Tatalaksana PPOK Mengancam Nyawa - ALOPALOOZA Paru-paru
  Dibalas 04 Juli 2025, 20:58 
  
    dr.Dwi Putri Nurulliza  
  Dokter Umum 
 Pasien laki-laki 49 tahun dibawa keluarga ke IGD dengan sesak nafas meningkat sejak 1 hari SMRS. Sesak menciut, sesak meningkat dengan aktivitas, sesak tidak dipengaruhi oleh makanan, cuaca dingin dan alergi lain yang muncul terus menerus sejak 3 bulan yang lalu, dan dalam terapi rutin obat hisap barotec dan onbrez sejak 1 tahun ini.
Dalam 2 bulan terakhir pasien sudah menghabiskan 2 canister berotec, diluar serangan pasien tetap merasa sesak dan menggunakan oksigen sejak 2 bulan ini.
Keluarga menyatakan terjadi penurunan kesadaran 6 jam SMRS selama 14 jam, terjadi perlahan-lahan, awalnya pasien mengantuk kemudian tidak respon saat dipanggil.
 Dibuat 30 Juni 2025, 13:23 
 (Konten ini khusus untuk dokter. Registrasi untuk baca selengkapnya)
 
  Masuk dengan Email
 Masuk dengan Email 
  
  
  
  
  
  
  
  
  
  
  
  
  
  
 