Pendahuluan Neuroblastoma
Neuroblastoma merupakan keganasan neuroendokrin dari sel progenitor krista neuralis atau neural crest. Karena asalnya, tumor dapat melibatkan area sepanjang jaras simpatis, termasuk medulla adrenal, area paraspinal atau periaorta. Variasi perjalanan penyakit dan manifestasi klinis neuroblastoma tergantung dari lokasi dan ukuran tumor, usia pasien, serta karakteristik biologis dan histopatologis tumor.[1–3]
Neuroblastoma dapat terjadi secara sporadis maupun secara familial. Tumorigenesis melibatkan mutasi gen ALK dan PHOX2B, overekspresi gen MYCN, dan kegagalan fungsi apoptosis fisiologis. Onkogen MYCN ditemukan pada 25% pasien neuroblastoma dan diketahui sebagai gen yang berperan penting dalam patogenesis. Gen ini juga menentukan prognosis neuroblastoma.[1,4]
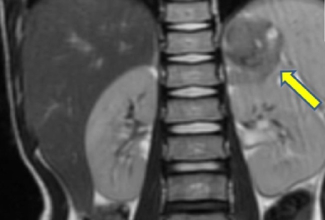
Gambar 1. Neuroblastoma pada Kelenjar Adrenal.
Lokasi predileksi neuroblastoma adalah medulla adrenal. Gejala bervariasi tergantung keterlibatan organ dan penekanan organ sekitar oleh massa tumor. Misalnya, neuroblastoma pada kelenjar adrenal dapat diidentifikasi massa pada pemeriksaan fisik abdomen, sedangkan di area cervical dapat diidentifikasi benjolan pada leher. Keluhan sistemik seperti demam, penurunan berat badan, dan kelelahan dapat menyertai keluhan lokal.
Diagnosis neuroblastoma ditegakkan dengan gambaran histopatologi, yaitu sel bulat kecil berwarna biru pucat atau Homer-Wright pseudorosettes. Pemeriksaan kadar katekolamin dalam urine diperlukan karena produksi berlebihan katekolamin dan metabolitnya pada neuroblastoma. Pencitraan dengan MRI atau CT scan, membantu identifikasi metastasis dan lokasi lesi tumor.[1]
Modalitas tata laksana neuroblastoma dilakukan berdasarkan stratifikasi risiko, seperti Children’s Oncology Group (COG). Neuroblastoma yang tergolong low risk pada beberapa kondisi tidak memerlukan terapi intensif dan dapat regresi spontan. Bila ukuran <5 cm, observasi setiap 6–12 bulan diperlukan. Sedangkan ukuran yang lebih besar mungkin memerlukan tindakan reseksi. Kemoterapi maupun radioterapi dipertimbangkan pada pasien anak dengan gejala, dan bukti keterlibatan nodus limfatik.
Prognosis dipengaruhi oleh usia pasien, perluasan dan metastasis tumor, serta parameter genetik dan histopatologis tumor. Berdasarkan stratifikasi risiko COG, kelompok low risk dengan tumor yang terlokalisir memiliki 5 years survival rate >90%. Sedangkan 5 years survival rate kelompok high risk dengan klinis diseminata luas (kecuali bayi) adalah sekitar 40–50%.[1–3,5]
Direvisi oleh: dr. Felicia Sutarli
