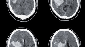
American Academy of Neurology (AAN) mengeluarkan sebuah konsensus mengenai kriteria neurologi dari kematian otak. Secara umum, kematian otak merujuk pada kondisi di...(Baca Selengkapnya)
Artikel Terkait
 -    
-    
-   Efek Asam Traneksamat pada Risiko Perdarahan Postpartum pada Anemia Sedang dan Berat – Telaah Jurnal Alomedika Efek Asam Traneksamat pada Risiko Perdarahan Postpartum pada Anemia Sedang dan Berat – Telaah Jurnal AlomedikaThe Effect of Tranexamic Acid on Postpartum Bleeding in Women with Moderate and Severe Anaemia (WOMAN-2): An International, Randomised, Double-blind, Placebo-Controlled Trial...(Baca Selengkapnya) 
-    
-    
-    
-    
-    
-    
-    
 
  Masuk dengan Email
 Masuk dengan Email 
  
  
  
  
 