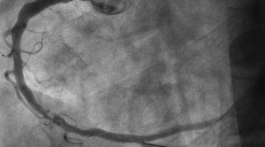
Percutaneous coronary intervention atau intervensi koroner perkutan pada sindrom koroner akut dapat dilakukan dengan pendekatan radial atau femoral. Masing-masing pendekatan ini mempunyai...(Baca Selengkapnya)
Artikel Terkait
 -    
-    
-    
-   Perbandingan Kondisi Nyata Penggunaan Clopidogrel, Prasugrel, dan Ticagrelor pada Percutaneous Coronary Intervention (PCI) Primer – Telaah Jurnal Alomedika Perbandingan Kondisi Nyata Penggunaan Clopidogrel, Prasugrel, dan Ticagrelor pada Percutaneous Coronary Intervention (PCI) Primer – Telaah Jurnal AlomedikaReal-World Comparison Of Clopidogrel, Prasugrel And Ticagrelor In Patients Undergoing Primary Percutaneous Coronary Intervention Krishnamurthy A, Keeble C, Anderson M, et al. Open...(Baca Selengkapnya) 
-    
-    
-    
-    
-    
-    
 
  Masuk dengan Email
 Masuk dengan Email 
  
  
  
  
 