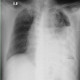
Laki laki usia 54 th Vital sign: TD 120/90 mmHg N: 86x/ mnt kuat angkat Rr: 26x/ mnt S : 36,4 gds / gula darah sewaktu: 328 mg/dlDiagnosisnya apa ya kira2
Analisis diagnosis dari foto rontgen thorax disertai hiperglikemia - Diskusi Dokter
general_alomedikaDiskusi Dokter
- Kembali ke komunitas
Analisis diagnosis dari foto rontgen thorax disertai hiperglikemia
  Dibalas 20 April 2024, 10:25 
  
    Anonymous  
  Mahasiswa Kedokteran 
 Laki laki usia 54 th Vital sign: TD 120/90 mmHg N: 86x/ mnt kuat angkat Rr: 26x/ mnt S : 36,4 gds / gula darah sewaktu: 328 mg/dl
Diagnosisnya apa ya kira2
 
  
  
  Dibuat 20 April 2024, 08:10 
   20 April 2024, 09:13 
  
    dr.Muhammad Ajib Nuzula, Sp.P  
  Dokter Spesialis Paru 
   20 April 2024, 09:19 
  
    dr.Muhammad Ajib Nuzula, Sp.P  
  Dokter Spesialis Paru 
   20 April 2024, 10:25 
  
    dr.Sonny Nurtanio  
  Dokter Umum 
  Diabet,fibrotic lung dan effusi pleura sin.curiga ec proses specific yg lama.   
  
  Masuk dengan Email
 Masuk dengan Email 
  
  
  
  
  
  
  
  
  
  
  
  
  
 