Alo dokter, saya ingin mendiskusikan mengenai diagnosis TB Paru Aktif. Ada pasien sy, wanita 27 th, keluhan saat ini hanya BB turun 4-5 kg dalam 6 bulan...
Pasien wanita usia 27 tahun dengan keluhan penurunan berat badan 6 bulan terakhir dan mudah lemas - Diskusi Dokter
general_alomedikaDiskusi Dokter
- Kembali ke komunitas
Pasien wanita usia 27 tahun dengan keluhan penurunan berat badan 6 bulan terakhir dan mudah lemas

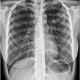
Alo dokter, saya ingin mendiskusikan mengenai diagnosis TB Paru Aktif. Ada pasien sy, wanita 27 th, keluhan saat ini hanya BB turun 4-5 kg dalam 6 bulan terakhir, mudah lemas, terkadang keringat malam, Demam (-), Batuk(-), sesak (-), Nyeri dada sesekali timbul namun jarang. Sebelumnya terdapat riwayat batuk berdahak namun sudah terjadi lebih dari 6 bulan yg lalu. Riwayat pernah kontak dengan penderita TB karena pasien merupakan nakes. Dari hasil Pemfis paru dbn vesikuler, Rh-/-. Pasien disarankan untuk pemeriksaan genexpert namun tidak bisa karena tidak terdapat dahak, tidak ada batuk sama sekali. Darah Rutin masih dalam batas normal. Foto CXR saya lampirkan. Apakah pasien tersebut sudah bisa didiagnosis dengan TB paru aktif dan mendapat OAT selama 6 bulan?



Untuk diagnosis TB Paru selain berdasarkan TB terkonfirmasi bakteriologis (genexpert) bisa juga TB terdiagnosis klinis. Antara lain bila klinis ada TB dan didukung foto thorax yg khas ke arah TB (infiltrat / fibroinfiltrat disertai kavitas)
Maka dalam kondisi ini kita sudah bisa melakukan terapi TB.
Untuk IGRA lainnya tidak digunakan sbg diagnosis TB aktif, melainkan TB Laten
😊🙏

Alodokter izin ikut berdiskusi
Mungkin untuk menegakkan diagnosisnya dapat dilakukan pemeriksaan lain seperti mungkin Tuberculin skin test (TST) atau test mantoux dan mungkin pemeriksaan IGRA bisa pertimbangkan. Sehingga tidak membutuhkan dahak untuk menegakkan diagnosisnya.
Berikut sumber yang saya baca, mungkin ts lain ada yang ingin menambahkan, cmiiw:
https://www.alomedika.com/penyakit/pulmonologi/tuberkulosis-paru/diagnosis
