izin konsul doks sesak memberat 1 hari ,riwayat pengobatan tb paru 3 thn yll tuntas berobat.batuk( ) sesekali.saturasi awal masuk 88 skrng ,97 dengan o2 4...
konsul pasien sesak dengan riwayat TB 3 tahun lalu - Diskusi Dokter
general_alomedikaDiskusi Dokter
- Kembali ke komunitas
konsul pasien sesak dengan riwayat TB 3 tahun lalu
Dibalas 04 Februari 2019, 10:39

Anonymous
Dokter Umum
izin konsul doks sesak memberat 1 hari ,riwayat pengobatan tb paru 3 thn yll tuntas berobat.batuk( ) sesekali.saturasi awal masuk 88 skrng ,97 dengan o2 4 lpm.demam( ).blm bab 4 hari,nyeri perut kanan bawah 3 hari yll berobat di klinik sembuh.nyeri tekan epgastirum.rhonki( ) wheezing(-).lab trombosit 117.000 lainnya dalam batas normal.any idea doks ?

Dibuat 02 Februari 2019, 15:20
02 Februari 2019, 18:46

dr.Antonius Sarwono Sandi Agus Sp.BTKV, FIHA, MH, FICS.
Dokter Spesialis Bedah Thoraks Kardio Vaskuler
Alo dokter
Bila melihat dari perubahan saturasi, kemungkinan besar memang masih ada kelainan di Breathing
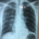
Rontgen toraks : Terlihat ada sesuatu di thoracal kiri
Sudut costophrenicus yang tumpul dan tidak rata didiafragma kiri, hipeeaerasi juga
Saran dianjurkan pemeriksaan lebih detail, termasuk ct scan toraks
Cmiiw
Bila melihat dari perubahan saturasi, kemungkinan besar memang masih ada kelainan di Breathing
Rontgen toraks : Terlihat ada sesuatu di thoracal kiri
Sudut costophrenicus yang tumpul dan tidak rata didiafragma kiri, hipeeaerasi juga
Saran dianjurkan pemeriksaan lebih detail, termasuk ct scan toraks
Cmiiw
02 Februari 2019, 20:57

dr. David, Sp.B, FINACS, FICS
Dokter Spesialis Bedah
Alo dokter!
Dengan anamnesi, riwayat penyakit dahulu, pemeriksaan klinis serta pemeriksaan penunjang yg anda lampirkan, maka saya lebih mencurigai kondisi ini merupakan suatu pneumonia (bisa suatu proses spesifik ataupun Tb kambuh) yg mengarah ke gagal napas. Utk kondisi ini, tangani kondisi seperti layaknya menangani kasus kegawatan lainnya yaitu primary and secondary survey. Pastikan airway tetap terjaga baik, breathing adekuat, bila perlu gunakan oksigen dengan sungkup dan bahkan ventilator, kondisi sirkulasi terpasang akses intravena.
Namun kondisi lainnya yaitu nyeri perut kanan bawah perlu dicurigai juga adanya suatu Tb ekstra paru atau Tb usus, yg gejalanya sering menyerupai gejala usus buntu (nyeri ulu hati dan nyeri perut kanan bawah). Untuk kondisi ini, tegak kan dulu diagnosis Tb nya (baik pemeriksaan serologis maupun patologi anatomi melalui biopsi) sebelum memberikan terapi OAT nya.
Semoga bermanfaat!
02 Februari 2019, 17:26

dr.Ardianto Kusumajaya, SpJP, FIHA
Dokter Spesialis Jantung
Apakah ada rhonki?
02 Februari 2019, 18:26

dr. Fathir Miski
Dokter Umum
Malam dokter,
Terimakasih sudah sharing kasusnya dok,
Izin memberi pendapat, sblmnya sy ingin menanyakan juga mengenai usia dan JK pasiennya. Dan sekilas mnrt sy terlihat ad infiltrat perihiler ya dok, terus terang sy jga ragu mengenai keluhan pd pasiennya apa saja, jk dr klinisnya ada batuk, sesak nafas serta ditemui ronki mgkn bs mengarah ke edema paru dengan dd bronkitis dan pneumonia ya dok. Cmiiw
Maaf tdk byk membantu..
02 Februari 2019, 20:03

dr. Rudi Hermanto Sinaga, Sp.B
Dokter Spesialis Bedah
Alodokter.
Sepintas terlihat opasitas yg berbeda ya, paru kanan dan kiri. Paru kiri keliatannya tdk normal. Sy curiga kemungkinan emboli paru kanan. Mungkin butuh pemeriksaan penunjang lainnya.
Terima ksh
Sepintas terlihat opasitas yg berbeda ya, paru kanan dan kiri. Paru kiri keliatannya tdk normal. Sy curiga kemungkinan emboli paru kanan. Mungkin butuh pemeriksaan penunjang lainnya.
Terima ksh