Alo dr. Eduward, SpPD. Saat saya sedang jaga di IGD, saya mendapatkan pasien dengan keluhan demam 3 hari, disertai batuk dan sesak. Pada pemeriksaan fisik...
Intepretasi hasil foto rontgen dari pasien usia 60 tahun datang dengan sesak - Diskusi Dokter
general_alomedikaDiskusi Dokter
- Kembali ke komunitas
Intepretasi hasil foto rontgen dari pasien usia 60 tahun datang dengan sesak
  Dibalas 16 Desember 2020, 13:15 
  
    Anonymous  
  Dokter Umum 
 Alo dr. Eduward, SpPD.
Saat saya sedang jaga di IGD, saya mendapatkan pasien dengan keluhan demam 3 hari, disertai batuk dan sesak.
Pada pemeriksaan fisik didapatkan:
Suhu: 38 derajat celsius
tekanan darah: 140/90 mmHg
Frekunesi napas: 30 x/menit, saturasi 95%
Pada pemeriksaan auskultasi didapatkan penurunan napaf di kanan.
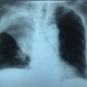
Pada Rontgen thorax didapatkan gambaran konsolidasi paru seperti dibawah.
Terapi apa yang sebaiknya saya pikirkan, dan diagnosis banding yang memungkinkan apa ya dok?
Terima kasih
 
  Dibuat 16 Desember 2020, 13:00 
   16 Desember 2020, 13:15 
  
    dr.Eduward Thendiono, SpPD,Finasim,IDF-Fellow  
  Dokter Spesialis Penyakit Dalam 
  Alo dokter, 
Dari data yang dokter berikan, working diagnosis utama menuju ke pneumonia
adapun diagnosis banding yang perlu dipertimbangkan adalah etiologi bakterial vs virus, termasuk kemungkinan tb paru lama yang aktif. selain itu, patut dipertimbangkan adanya kemungkinan lung tumor.
Saya menyarankan untuk menggali riwayat lebih dalam seperti faktor komorbid yang ada, kemudian dikonfirmasi dengan pemeriksaan laboratorium misalnya darah rutin, hitung jenis lekosit, analisis gas darah, gula darah, pemeriksaan sputum kalau memungkinkan, bahkan hingga ct scan thorax jika data yang ada mengarah ke tumor.
Untuk terapi di UGD, saya menyarankan untuk oksigenasi dengan nasal kanula lebih dahulu, antibiotik spektrum luas, antipiretik sambil menunggu konfirmasi hasil pemeriksaan penunjang.
Semoga bermanfaat.
   
 Dari data yang dokter berikan, working diagnosis utama menuju ke pneumonia
adapun diagnosis banding yang perlu dipertimbangkan adalah etiologi bakterial vs virus, termasuk kemungkinan tb paru lama yang aktif. selain itu, patut dipertimbangkan adanya kemungkinan lung tumor.
Saya menyarankan untuk menggali riwayat lebih dalam seperti faktor komorbid yang ada, kemudian dikonfirmasi dengan pemeriksaan laboratorium misalnya darah rutin, hitung jenis lekosit, analisis gas darah, gula darah, pemeriksaan sputum kalau memungkinkan, bahkan hingga ct scan thorax jika data yang ada mengarah ke tumor.
Untuk terapi di UGD, saya menyarankan untuk oksigenasi dengan nasal kanula lebih dahulu, antibiotik spektrum luas, antipiretik sambil menunggu konfirmasi hasil pemeriksaan penunjang.
Semoga bermanfaat.
 
  Masuk dengan Email
 Masuk dengan Email 
  
  
  
  
  
  
  
  
  
  
  
  
  
 