ALO Dokter, seorang pasien wanita usia 19th datang ke poli dengan keluhan sesak nafas sejak 3 hari dan semakin meningkat sejak 1 hari ini. Sesak dipengaruhi...
Perlukah pemeriksaan TCM? - ALOPALOOZA Paru-paru - Diskusi Dokter
general_alomedikaDiskusi Dokter
- Kembali ke komunitas
Perlukah pemeriksaan TCM? - ALOPALOOZA Paru-paru
 
  ALO Dokter, seorang pasien wanita usia 19th datang ke poli dengan keluhan sesak nafas sejak 3 hari dan semakin meningkat sejak 1 hari ini. Sesak dipengaruhi aktivitas dan disertai dengan batuk tidak berdahak. Batuk sudah dirasakan sejak 1 bulan yang lalu. Riwayat batuk darah tidak ada. Demam sejak 1 bulan yang lalu, bersifat hilang timbul, tidak menggigil. Pasien juga mengeluhkan adanya keringat malam sejak 1 bulan yang lalu, disertai penurunan nafsu makan dan penurunan berat badan sejak 2 bulan yang lalu sebanyak 9 kg.
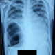
Dilakukan rontgen paru dengan hasil sebagai berikut.
Perlukah pasien diperiksa TCM untuk memulai terapi?
 
  
  Jika dilihat foto toraks terlampir, terdapat giant bullae pada paru kanan dan lesi infiltrat kedua lapang paru.
Pemeriksaan sputum TCM diperlukan untuk mengetahui apakah pasien terdiagnosis TB bakteriologis dan apakah terdapat resistan terhadap rifampisin saja atau beberapa alat bisa mendeteksi resistansi terhadap INH (bisa diketahui pada pemeriksaan TCM).
Pemeriksaan penunjang lain yang bisa dianjurkan pada pasien ini adalah CT scan toraks/ HRCT. Lesi khas TB yang bisa tampak pada CT scan salah satunya adalah lesi tree in bud.
Semoga membantu. 
 
   
  ALO dr. Putu Eka, Sp.P dan dr. Amalia, Terimakasih banyak atas diskusinya Dokter... Saya juga curigai ke arah TB Paru dok, namun saya ragu untuk perlukah tetap melakukan TCM sebelum menginisiasi terapi OAT pada pasien Dok. Mohon advicenya Dok sebaiknya dilakukan terapi setelah hasil TCM keluar atau boleh dimulai beriringan dok?
 
   
   
  Karena dari klinisnya khas TB, jd diagnosis TB nya tegak secara klinis, walaupun hasil bakteriologisnya negatif.
 
  Baik dok, akan saya lakukan bersamaan pada pasien ini. Terimakasih banyak atas advice dan diskusinya dr. Mario, Sp.P, dr. Putu Eka, Sp.P dan dr. Amalia...😊
 
  Masuk dengan Email
 Masuk dengan Email 
  
  
  
  
  
  
  
  
  
  
  
  
  
 