Saat ini, isu terkait toksisitas restorasi dental amalgam menjadi perhatian dan kontroversi di kalangan masyarakat awam. Padahal, bahan restorasi dental amalgam telah digunakan dalam kedokteran gigi selama lebih dari 150 tahun.
Dental amalgam memiliki daya tahan yang tinggi, aplikasi yang mudah, harga yang relatif terjangkau, dan efek bakteriostatik. Namun, amalgam dapat memaparkan pasien pada merkuri, terutama saat pemasangan dan pembongkarannya. Sementara itu, WHO sendiri sudah menyatakan bahwa merkuri dalam jumlah kecil sekalipun dapat menyebabkan masalah kesehatan dan lingkungan yang berat. Merkuri juga telah diketahui mempengaruhi perkembangan janin dan anak di masa awal kehidupan.[1-3]
Sekilas Tentang Restorasi Dental Amalgam
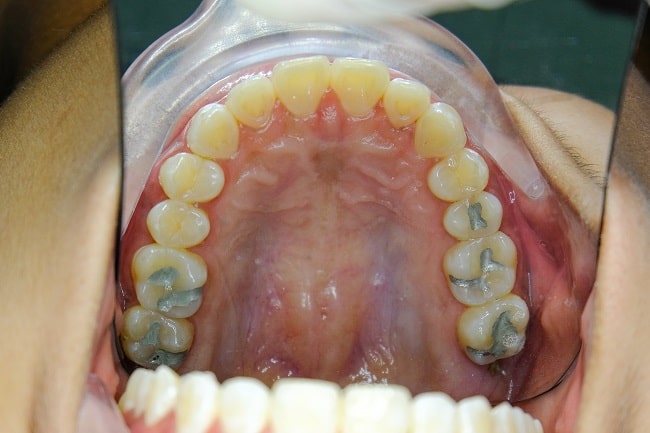
Dental amalgam merupakan bahan tambal gigi atau restorasi yang terdiri dari campuran partikel alloy logam dan merkuri. Kandungan perak pada amalgam digunakan untuk meningkatkan kekuatan perpaduan logam, kemampuan ekspansi, serta memperpanjang waktu pengaturan.
Kandungan tembaga pada amalgam berperan meningkatkan kekuatan bahan, mengurangi noda, serta mencegah korosi dan kerusakan marginal. Kandungan seng ditambahkan pada amalgam untuk mencegah oksidasi logam lain dan membantu menjaga perpaduan bahan aloy berubah menjadi gelap.[1,4,5]
Jenis Dental Amalgam
Dental amalgam terdiri dari dua jenis, yaitu amalgam tembaga rendah dan amalgam tembaga tinggi. Amalgam dengan tembaga rendah lebih banyak digunakan di masa lalu, dan saat ini hampir seluruhnya digantikan oleh amalgam tembaga tinggi.
Amalgam tembaga tinggi memiliki kekuatan lebih tinggi, tahan korosi, menghasilkan noda lebih sedikit, dapat bertahan dalam jangka waktu lama, dan memiliki tingkat kegagalan lebih rendah karena minimalnya kemungkinan kerusakan marginal.[1,4,5]
Kandungan Merkuri
Amalgam modern diproduksi prekapsulasi yang terdiri dari 42- 45% merkuri. Amalgam prekapsulasi ini nyaman untuk digunakan dan memberikan jaminan bahwa bahan tidak terkontaminasi sebelum digunakan atau tumpah sebelum dilakukan pencampuran.
Merkuri merupakan salah satu unsur toksik yang terdapat pada dental amalgam. Para peneliti setuju bahwa restorasi amalgam melepaskan uap merkuri ke dalam mulut. Uapnya dapat menyebar ke dalam tubuh, dengan cepat melewati membran sel, dan mengendap di jaringan.
Hal inilah yang diduga dapat menyebabkan masalah kesehatan sistemik. Walaupun demikian, hasil studi yang ada masih berbeda-beda, dengan sebagian studi menyatakan kaitan signifikan amalgam dengan gangguan kesehatan dan sebagian lainnya menyatakan tidak ada dampak klinis yang signifikan.
Saat ini, penggunaan amalgam sebagai bahan restorasi telah banyak ditinggalkan, karena kekhawatiran terkait efek merugikan pada tubuh, dampak pencemaran lingkungan, dan faktor estetika. Warna metalik dari amalgam tidak menyatu dengan warna gigi asli, sehingga pasien dan profesional lebih memilih bahan restorasi sewarna gigi sebagai bahan tambal alternatif untuk karies gigi.[1,4,5]
Dampak Klinis Toksisitas Restorasi Dental Amalgam
Dental amalgam memiliki beberapa pengaruh terhadap rongga mulut, seperti risiko reaksi alergi, endapan merkuri pada jaringan, sisa tato, dan efek peradangan.
Reaksi Alergi
Dental amalgam dapat menyebabkan reaksi hipersensitivitas yang tertunda (reaksi alergi tipe III) pada sejumlah kecil individu. Reaksi hipersensitivitas ini umumnya timbul sebagai gejala dermatologi atau oral. Paparan merkuri yang terus menerus akibat restorasi dental amalgam juga meningkatkan risiko pasien mengalami lesi likenoid oral. Namun, lesi ini umumnya asimptomatik dan tidak menyebabkan ketidaknyamanan bermakna.
Gejala yang timbul akibat reaksi hipersensitivitas terhadap amalgam mencakup ruam pada area mulut, kepala, atau leher, rasa gatal, bibir bengkak, dan lesi lokal mirip dermatitis pada rongga mulut. Gejala ini umumnya tidak memerlukan terapi dan dapat hilang sendiri dalam beberapa hari. Namun, pada beberapa kasus, mungkin dibutuhkan penghapusan restorasi amalgam dan penggantian dengan bahan restorasi alternatif.[2,4,6]
Endapan Merkuri
Uap merkuri dilepaskan selama insersi, kondensasi dan pengukiran amalgam. Selain itu, uap juga dapat dilepaskan selama penambalan dan penghapusan restorasi amalgam.
Merkuri berinteraksi dengan protein larut dalam tubuh dan membentuk sebuah ikatan yang dapat menyebabkan cedera oksidatif pada jaringan. Restorasi amalgam sendiri dianggap sebagai sumber merkuri dalam saliva dan berkorelasi dengan kondisi degradasi jaringan. Tetapi, perlu diketahui bahwa besarnya paparan terhadap merkuri akibat restorasi dental amalgam akan bergantung pada jumlah dan ukuran restorasi, komposisi, kebiasaan mengunyah, tekstur makanan, dan cara menyikat gigi.
Dalam bentuk uap, merkuri dapat dihirup dan akan diserap sebanyak 80%, dengan cepat memasuki sirkulasi darah dan mengendap di jaringan. Organ target dari merkuri mencakup sistem saraf pusat, ginjal, paru, hepar, traktus gastrointestinal, dan kelenjar eksokrin. Meski demikian, merkuri tidak mengendap secara ireversibel pada jaringan tubuh manusia. Rerata waktu paruh merkuri adalah 55 hari.[2,4,6]
Beberapa studi menyatakan bahwa paparan merkuri akibat dental amalgam tidak meningkatkan risiko penyakit sistemik secara bermakna. Tapi ada pula berbagai studi yang melaporkan efek buruknya bagi kesehatan, seperti peningkatan risiko penyakit Alzheimer.[7-10]
Amalgam Tato
Amalgam tato merupakan lesi berpigmen terlokalisir di rongga mulut yang disebabkan oleh trauma insersi dan penghapusan restorasi amalgam ke dalam jaringan lunak sekitar. Jaringan lunak yang paling sering terkena dampak amalgam tato adalah gingiva.[2,4]
Reaksi Inflamasi
Paparan merkuri dari amalgam juga telah dikaitkan dengan proses peradangan kronis. Reaksi radang ini dilaporkan dapat menyebabkan gejala seperti sensasi terbakar, mulut kering, gusi berdarah, nyeri, dan ketidaknyamanan.
Selain itu, masalah periodontal akibat akumulasi plak juga dilaporkan lebih cenderung terjadi pada pasien yang memakai restorasi dental amalgam. Namun, efek ini masih bisa dicegah dengan rutin menjaga kebersihan mulut.[1-4, 6]
Pencegahan Pencemaran Akibat Dental Amalgam Terhadap Lingkungan dan Petugas Kesehatan
Merkuri yang terkandung dalam bahan restorasi amalgam dikenal berdampak buruk bagi lingkungan. Limbah bahan yang mengandung merkuri harus dikumpulkan dalam wadah yang tertutup rapat untuk mencegah pencemaran lingkungan.
Selama tindakan gigi yang melibatkan amalgam, pencemaran terhadap lingkungan dan pekerja kesehatan dapat diminimalisir dengan cara :
- Selama melakukan penumpatan amalgam, gunakan semprotan air dan penghisap
- Operator harus mengenakan alat pelindung diri, seperti masker, kacamata pelindung, penutup rambut, dan pelindung wajah
- Pasien mengenakan apron di bawah celemek untuk menutupi pakaian
- Penggunaan rubber dam untuk mencegah kebocoran uap merkuri
- Penggunaan filter, seperti karbon aktif, yang ditempatkan bersama rubber dam untuk menghindari akumulasi partikel di jaringan sublingual dan batas lateral lidah
- Penghapusan restorasi amalgam dengan bur gigi baru untuk mempermudah proses
- Penggunaan penghisap dengan daya tinggi untuk menghindari uap merkuri mencemari lingkungan kerja[4,11]
- Bekerja di ruang yang berventilasi baik, dengan pertukaran udara yang lancar
- Melakukan pemeriksaan secara berkala kadar uap merkuri yang ada di ruang kerja dokter gigi.
- Merancang ruang kerja dokter gigi dengan lapisan lantai berbahan non absorbent untuk memudahkan pembersihan dan memfasilitasi kemungkinan tumpahan limbah restorasi amalgam [4,12,13]
Kesimpulan
Restorasi dental amalgam dikhawatirkan memberi dampak buruk pada kesehatan akibat kandungan merkuri di dalamnya. Seberapa signifikan secara klinis efek dari paparan merkuri akibat dental amalgam ini sebetulnya masih menjadi perdebatan.
Ada studi yang menyebutkan tidak ada efek bermakna, tapi ada juga yang melaporkan sebaliknya. Restorasi dental amalgam pun mulai ditinggalkan akibat kekhawatiran terhadap efek toksiknya, potensi pencemaran lingkungan, dan warnanya yang tidak serupa dengan gigi.
 
  Masuk dengan Email
 Masuk dengan Email 
  
  
 
 
  
  
  
  
  
  
  
  
  
  
 