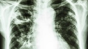
Evaluasi batuk kronis bisa menyulitkan klinisi karena ada banyak sekali kemungkinan etiologi yang mendasari, termasuk tuberkulosis paru dan asma. Secara umum, batuk...(Baca Selengkapnya)
Artikel Terkait
 -    
-    
-    
-    
-   Perbedaan PCR GeneXpert MTB/RIF Konvensional dan Ultra untuk Diagnosis Tuberkulosis – Artikel Terkini! Perbedaan PCR GeneXpert MTB/RIF Konvensional dan Ultra untuk Diagnosis Tuberkulosis – Artikel Terkini!Pemeriksaan PCR geneXpert MTB/RIF ultra telah dikembangkan untuk dapat lebih sensitif dan spesifik daripada geneXpert MTB/RIF konvensional, dalam mendiagnosis tuberkulosis (TB). Kedua...(Baca Selengkapnya) 
-    
-    
-    
-    
-    
 
  Masuk dengan Email
 Masuk dengan Email 
  
  
  
  
 