Masuk atau Daftar

Alo! Masuk dan jelajahi informasi kesehatan terkini dan terlengkap sesuai kebutuhanmu di sini!
atau dengan
Facebook
Masuk dengan Email
Masukkan Kode Verifikasi
Masukkan kode verifikasi yang telah dikirimkan melalui SMS ke nomor
Kami telah mengirim kode verifikasi. Masukkan kode tersebut untuk verifikasi
Kami telah mengirim ulang kode verifikasi. Masukkan kode tersebut untuk verifikasi
Terjadi kendala saat memproses permintaan Anda. Silakan coba kembali beberapa saat lagi.
Selanjutnya

Tidak mendapatkan kode? Kirim ulang atau Ubah Nomor Ponsel

Mohon Tunggu dalam Detik untuk kirim ulang

Apakah Anda memiliki STR?
Alo, sebelum melanjutkan proses registrasi, silakan identifikasi akun Anda.
Ya, Daftar Sebagai Dokter
Belum punya STR? Daftar Sebagai Mahasiswa

Nomor Ponsel Sudah Terdaftar

Nomor yang Anda masukkan sudah terdaftar. Silakan masuk menggunakan nomor [[phoneNumber]]

Masuk dengan Email

Silakan masukkan email Anda untuk akses Alomedika.
Lupa kata sandi ?

Masuk dengan Email

Silakan masukkan nomor ponsel Anda untuk akses Alomedika.

Masuk dengan Facebook

Silakan masukkan nomor ponsel Anda untuk verifikasi akun Alomedika.

KHUSUS UNTUK DOKTER

Logout
Masuk
Download Aplikasi
  • CME
  • Webinar
  • E-Course
  • Diskusi Dokter
  • Penyakit & Obat
    Penyakit A-Z Obat A-Z Tindakan Medis A-Z
Artikel Terkait
  • Efek Durasi dan Intensitas Menyusui terhadap Risiko Penyakit Jantung Koroner dan Stroke pada Ibu – Telaah Jurnal Alomedika
    Efek Durasi dan Intensitas Menyusui terhadap Risiko Penyakit Jantung Koroner dan Stroke pada Ibu – Telaah Jurnal Alomedika

    Duration and Intensity Of Lactation And Maternal Risk Of Subsequent Incident Coronary Artery Disease and Stroke—A Prospective Cohort Study Christensen SH, Aarestrup...(Baca Selengkapnya)

  • Kontroversi Penurunan Tekanan Darah pada Fase Akut Stroke Hemoragik
    Kontroversi Penurunan Tekanan Darah pada Fase Akut Stroke Hemoragik

    Selama ini, terdapat dogma yang menganggap bahwa penurunan tekanan darah pada fase akut stroke hemoragik dapat menyebabkan perburukan iskemia pada area perihematoma....(Baca Selengkapnya)

  • Memahami Terapi Dual Antiplatelet setelah Percutaneous Coronary Intervention
    Memahami Terapi Dual Antiplatelet setelah Percutaneous Coronary Intervention

    Terapi dual antiplatelet sering digunakan pada pasien dengan penyakit jantung koroner (PJK) setelah tindakan kateterisasi jantung atau Percutaneous Coronary Intervention (PCI). Tujuannya adalah untuk...(Baca Selengkapnya)

  • Risiko Infark Miokard Dan Stroke Setelah Infeksi Saluran Kemih Yang Terkonfirmasi – Telaah Jurnal Alomedika
    Risiko Infark Miokard Dan Stroke Setelah Infeksi Saluran Kemih Yang Terkonfirmasi – Telaah Jurnal Alomedika

    Risk of Myocardial Infarction and Stroke Following Microbiologically Confirmed Urinary Tract Infection: A Self-Controlled Case Series Study Using Linked Electronic Health Data....(Baca Selengkapnya)

  • Risiko Stroke pada Penggunaan Mood Stabilizer untuk Gangguan Bipolar
    Risiko Stroke pada Penggunaan Mood Stabilizer untuk Gangguan Bipolar

    Sebuah studi kohort retrospektif yang diterbitkan pada tahun 2018 menunjukkan bahwa berbagai obat mood stabilizer meningkatkan risiko stroke pada pasien gangguan bipolar....(Baca Selengkapnya)

  • Peran Aspirin dalam Tata Laksana Aneurisma Intrakranial
    Peran Aspirin dalam Tata Laksana Aneurisma Intrakranial

    Aspirin, suatu agen antiplatelet dan antiinflamasi, akhir-akhir ini banyak diteliti karena dipercaya dapat menghambat proses inflamasi yang berperan dalam progresi aneurisma intrakranial....(Baca Selengkapnya)

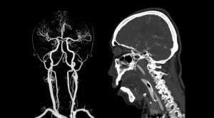
  • CT Angiografi Diperluas vs CT Angiografi Standar dalam Penatalaksanaan Stroke Iskemik – Telaah Jurnal Alomedika
    CT Angiografi Diperluas vs CT Angiografi Standar dalam Penatalaksanaan Stroke Iskemik – Telaah Jurnal Alomedika

    Extended CT angiography versus standard CT angiography for the detection of cardioaortic thrombus in patients with ischaemic stroke and transient ischaemic attack...(Baca Selengkapnya)

  • Efek Citicoline Terhadap Defisit Neurologis Pasien Stroke dan Cedera Kepala
    Efek Citicoline Terhadap Defisit Neurologis Pasien Stroke dan Cedera Kepala

    Efikasi penggunaan citicoline untuk memperbaiki defisit neurologis pada stroke dan cedera kepala masih menjadi kontroversi. Hasil berbagai studi masih saling bertentangan, dengan...(Baca Selengkapnya)

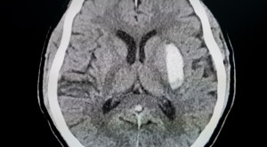
  • Pilihan Pemeriksaan Radiologi untuk Stroke Hemoragik
    Pilihan Pemeriksaan Radiologi untuk Stroke Hemoragik

    Dalam menentukan diagnosis stroke hemoragik, pemeriksaan radiologi seperti CT scan kepala menjadi penting untuk mengidentifikasi lokasi dan tingkat keparahan perdarahan otak. Stroke...(Baca Selengkapnya)

  • Percutaneous Coronary Intervention pada Sindrom Koroner Akut: Radial atau Femoral
    Percutaneous Coronary Intervention pada Sindrom Koroner Akut: Radial atau Femoral

    Percutaneous coronary intervention atau intervensi koroner perkutan pada sindrom koroner akut dapat dilakukan dengan pendekatan radial atau femoral. Masing-masing pendekatan ini mempunyai...(Baca Selengkapnya)

Selanjutnya >>

Download Aplikasi Alomedika & Ikuti CME Online-nya!
Kumpulkan poin SKP sebanyak-banyaknya!

  • Tentang Kami
  • Advertise with us
  • Syarat dan Ketentuan
  • Privasi
  • Kontak Kami

© 2024 Alomedika.com All Rights Reserved.