Masuk atau Daftar

Alo! Masuk dan jelajahi informasi kesehatan terkini dan terlengkap sesuai kebutuhanmu di sini!
atau dengan
Facebook
Masuk dengan Email
Masukkan Kode Verifikasi
Masukkan kode verifikasi yang telah dikirimkan melalui SMS ke nomor
Kami telah mengirim kode verifikasi. Masukkan kode tersebut untuk verifikasi
Kami telah mengirim ulang kode verifikasi. Masukkan kode tersebut untuk verifikasi
Terjadi kendala saat memproses permintaan Anda. Silakan coba kembali beberapa saat lagi.
Selanjutnya

Tidak mendapatkan kode? Kirim ulang atau Ubah Nomor Ponsel

Mohon Tunggu dalam Detik untuk kirim ulang

Apakah Anda memiliki STR?
Alo, sebelum melanjutkan proses registrasi, silakan identifikasi akun Anda.
Ya, Daftar Sebagai Dokter
Belum punya STR? Daftar Sebagai Mahasiswa

Nomor Ponsel Sudah Terdaftar

Nomor yang Anda masukkan sudah terdaftar. Silakan masuk menggunakan nomor [[phoneNumber]]

Masuk dengan Email

Silakan masukkan email Anda untuk akses Alomedika.
Lupa kata sandi ?

Masuk dengan Email

Silakan masukkan nomor ponsel Anda untuk akses Alomedika.

Masuk dengan Facebook

Silakan masukkan nomor ponsel Anda untuk verifikasi akun Alomedika.

KHUSUS UNTUK DOKTER

Logout
Masuk
Download Aplikasi
  • CME
  • Webinar
  • E-Course
  • Diskusi Dokter
  • Penyakit & Obat
    Penyakit A-Z Obat A-Z Tindakan Medis A-Z
Artikel Terkait
  • Tata Laksana Perdarahan Pasca Tonsilektomi
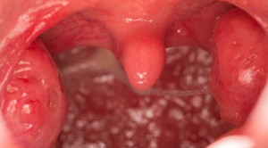
    Tata Laksana Perdarahan Pasca Tonsilektomi

    Perdarahan pasca tonsilektomi merupakan komplikasi yang jarang terjadi, tetapi bisa bersifat mengancam nyawa akibat perdarahan aktif yang banyak. Pada kebanyakan kasus, perdarahan...(Baca Selengkapnya)

  • Indikasi Tonsilektomi pada Anak
    Indikasi Tonsilektomi pada Anak

    Tonsilektomi merupakan tindakan pembedahan yang sering dilakukan pada anak sehingga dokter perlu memahami indikasi yang tepat untuk tindakan ini. Dengan memahami indikasi...(Baca Selengkapnya)

  • Nyeri Tenggorokan pada Anak - Penyebab dan Tata Laksananya
    Nyeri Tenggorokan pada Anak - Penyebab dan Tata Laksananya

    Nyeri tenggorokan atau “sore throat” merupakan suatu gejala penyakit yang sering dikeluhkan oleh anak. Secara umum, nyeri tenggorokan merupakan gejala utama faringitis....(Baca Selengkapnya)

  • Red Flag Nyeri Tenggorokan
    Red Flag Nyeri Tenggorokan

    Red flag atau tanda bahaya nyeri tenggorokan penting untuk mengenali etiologi yang mengancam nyawa. Pada kebanyakan kasus, nyeri tenggorokan berkaitan dengan kondisi...(Baca Selengkapnya)

  • Pastikan Tonsilektomi Dilakukan Sesuai Kebutuhan Pasien
    Pastikan Tonsilektomi Dilakukan Sesuai Kebutuhan Pasien

    Dokter perlu memastikan bahwa tonsilektomi dilakukan sesuai indikasi atau kebutuhan pasien. Tonsilektomi atau operasi pengangkatan tonsil adalah salah satu prosedur bedah yang...(Baca Selengkapnya)

  • Manfaat Povidone Iodine untuk Sakit Tenggorokan
    Manfaat Povidone Iodine untuk Sakit Tenggorokan

    Sakit tenggorokan akibat infeksi saluran pernapasan atas (ISPA) sering diterapi dengan povidone iodine. Hal ini dikarenakan povidone iodine (PVP-I) adalah kompleks yang...(Baca Selengkapnya)

  • Azithromycin untuk Terapi Tonsilofaringitis Bakterial Akut
    Azithromycin untuk Terapi Tonsilofaringitis Bakterial Akut

    Azithromycin merupakan salah satu pilihan terapi untuk tonsilofaringitis bakterial akut. Namun, waktu penggunaannya masih sering dipertanyakan mengingat penyebab tersering dari tonsilofaringitis akut...(Baca Selengkapnya)

  • Pemberian Kortikosteroid pada Nyeri Tenggorokan
    Pemberian Kortikosteroid pada Nyeri Tenggorokan

    Pemberian kortikosteroid pada kasus nyeri tenggorokan diharapkan mampu mengatasi inflamasi dan mempercepat pemulihan. Umumnya, nyeri tenggorokan merupakan gejala faringitis atau tonsilitis yang...(Baca Selengkapnya)

  • Manajemen Faringitis Streptococcus Grup A Berdasarkan Sistem Skoring Klinis
    Manajemen Faringitis Streptococcus Grup A Berdasarkan Sistem Skoring Klinis

    Dalam manajemen faringitis akibat infeksi Streptococcus pyogenes atau streptokokus beta-hemolitikus grup A (GABHS), sistem skoring klinis diharapkan dapat membantu dokter dalam tahap...(Baca Selengkapnya)

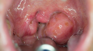
  • Untung Rugi Tonsilektomi pada Tonsilitis Kronis
    Untung Rugi Tonsilektomi pada Tonsilitis Kronis

    Untung rugi tonsilektomi pada tonsilitis kronis perlu ditinjau karena masih banyak kontroversi mengenai manfaat dan risiko tindakan tersebut. Tonsilektomi merupakan prosedur pengangkatan...(Baca Selengkapnya)

Selanjutnya >>

Download Aplikasi Alomedika & Ikuti CME Online-nya!
Kumpulkan poin SKP sebanyak-banyaknya!

  • Tentang Kami
  • Advertise with us
  • Syarat dan Ketentuan
  • Privasi
  • Kontak Kami

© 2024 Alomedika.com All Rights Reserved.