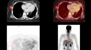
Pemeriksaan kedokteran nuklir bermanfaat untuk mendeteksi proses infeksi atau inflamasi di tahap awal/dini, sehingga dapat berperan dalam diagnosis penyakit tuberkulosis. Seperti diketahui,...(Baca Selengkapnya)
Artikel Terkait
Tidak mendapatkan kode? Kirim ulang atau Ubah Nomor Ponsel
Mohon Tunggu dalam Detik untuk kirim ulang