Izin bertanya dok, berapa lama flek pada paru pasien sembuh post covid akan hilang? Edukasi atau terapi apa yang bisa kita berikan pada pasien agar flek...
Flek pada paru-paru post covid berapa lama kah proses penyembuhannya - Diskusi Dokter
general_alomedikaDiskusi Dokter
- Kembali ke komunitas
Flek pada paru-paru post covid berapa lama kah proses penyembuhannya
Dibalas 17 Juli 2021, 14:32

Anonymous
Dokter Umum
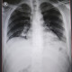
Izin bertanya dok, berapa lama flek pada paru pasien sembuh post covid akan hilang? Edukasi atau terapi apa yang bisa kita berikan pada pasien agar flek dapat berkurang? Berikut saya lampirkan foto rontgen terakhir pasien 1 hari sebelum pulang
Mohon jawabannya dok 🙏🏻

Dibuat 17 Juli 2021, 09:59
17 Juli 2021, 14:32

dr.Moh Ramadhani Soeroso
Dokter Spesialis Paru
Coba dokter lanjutkan ke ct scan toraks utk melihat GGO