ALO Dokter, ada pasien yang mengeluhkan sesak sejak 7 hari yang lalu dan semakin memberat 1 jam SMRS. Sesak timbul walau saat beraktivitas ringan. Sesak...
Diskusi Dokter
(Konten ini khusus untuk dokter. Registrasi untuk baca selengkapnya)
Tidak mendapatkan kode? Kirim ulang atau Ubah Nomor Ponsel
Mohon Tunggu dalam Detik untuk kirim ulang
 
  
  
 ALO Dokter, ada pasien yang mengeluhkan sesak sejak 7 hari yang lalu dan semakin memberat 1 jam SMRS. Sesak timbul walau saat beraktivitas ringan. Sesak...
 
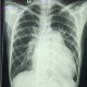
  ALO Dokter, ada pasien yang mengeluhkan sesak sejak 7 hari yang lalu dan semakin memberat 1 jam SMRS. Sesak timbul walau saat beraktivitas ringan. Sesak tidak menciut, tidak dipengaruhi posisi, emosi dan cuaca.
Pasien juga mengeluhkan dalam 7 hari ini sering pingsan 7 hari ini, dan sering berdebar terutama saat beraktivitas. Dilakukan EKG dan Rontgen dengan hasil terlampir. Diagnosisnya?
(Konten ini khusus untuk dokter. Registrasi untuk baca selengkapnya)
 
  
  
  
  
  Mohoh maaf. 
 Akibat banyaknya jumlah pertanyaan yang diterima, maka untuk saat ini kami tidak bisa menerima pertanyaan tambahan di website alomedika.com. 
 Untuk membuat pertanyaan, Anda dapat segera mendownload aplikasi Alomedika untuk chat gratis bersama lebih dari 100 dokter pilihan, 24 jam penuh dan waktu tunggu kurang dari 10 menit. 
